Schistosoma malayensis
| Schistosoma malayensis | |
|---|---|
| |
| Scientific classification | |
| Kingdom: | Animalia |
| Phylum: | Platyhelminthes |
| Class: | Trematoda |
| Order: | Diplostomida |
| Family: | Schistosomatidae |
| Genus: | Schistosoma |
| Species: | S. malayensis
|
| Binomial name | |
| Schistosoma malayensis Greer, Ow-Yang & Yong, 1988
| |
Schistosoma malayensis is a schistosome parasite. It was first described in 1988 in Peninsular Malaysia and appears to be a zoonotic infection.[1] The species is named after the country of Malaysia. The natural vertebrate host is van Müller's rat (Rattus muelleri). The intermediate hosts are aquatic snails, Robertsiella kaporenisis. Aside from Robertsiella kaporenisis, two other Robertsiella species are reported intermediate hosts.[2]
Among humans exposed to this parasite the lifetime incidence appears to be 5–10%.[3] The symptoms are unclear, because the symptoms have never been reported. The disease has been little studied and it is currently considered to be a relatively minor public health problem.
Taxonomy
Schistosoma malayensis is a member of the japonicum species complex along with Schistosoma japonicum and Schistosoma mekongi. While the three species are grouped together because of their similarity, Schistosoma malayensis is more closely related to Schistosoma mekongi.[4]
Morphology
Size is the only morphological difference compared to its natural host possibly due to host-induced variation. The adult S. malayensis is typically smaller than S. mekongi and S. japonicum.[5]
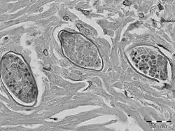
S. malayensis eggs have been found in liver granulomas, embedded within dense, fibrous tissue. The eggs of S. malayensis have a thin-walled, yellowish shell. The eggs contain miracidia and are approximately 50 μm long × 28 μm wide. The ova is not operculated and has no bipolar plugs and the thin covering was not striated.[6]
Epidemiology
Serologic surveys for schistosomiasis due to S. malayensis indicate of 3.9% prevalence in rural populations.[6] It was unsuccessful at adapting to human host. Infected rodents are often found near snail habitats.[6] Infections in humans are unlikely and are considered rare. Humans are most likely to become infected while fishing or canoeing on small streams.
Intermediate host
Freshwater snails (Robertsiella sp.) act as an intermediate host for S. malayensis, that can infect humans and other mammals when cercaria are released from the snail and eventually get in contact with the definitive host. Robertsiella species are Caenogastropoda snails of the family Pomatiopsidae. This species is known to be located in limestone areas in the foothills of the mountain chains of Kedah and Perak States in West Malaysia.[7]
Definitive host
The final or definitive mammalian hosts include Rattus muelleri and R. tiomanicus. R. muelleri has been found in lowland secondary, and disturbed primary forests in wet conditions in Western Malaysia. R. muelleri is often found near river banks due to the species prioritization of crustaceans and mollusks over other food sources, such as insects. The predation of mollusks by R. muelleri allows S. malayensis a route into its definitive host. It is possible infected rodents defecate in bodies of water they hunt for prey in, maintaining a constant contamination with S. malayensis eggs and continuing the life cycle.[6][8]
References
- ^ Greer G.J.; Ow-Yang C.K.; Yong H.S. (1988). "Schistosoma malayensis n. sp.: a Schistosoma japonicum-complex schistosome from Peninsular Malaysia". J. Parasitol. 74 (3): 471–48. doi:10.2307/3282058. JSTOR 3282058. PMID 3379527.
- ^ "Schistosoma malayensis". Farlex Partner Medical Dictionary. Farlex, Inc. Retrieved 13 December 2024.
- ^ Sagin D.D., Ismail G., Fui J.N., Jok J.J. (2001) Schistosomiasis malayensis-like infection among the Penan and other interior tribes (Orang Ulu) in upper Rejang River Basin Sarawak Malaysia. Southeast Asian J. Trop. Med. Public Health 32(1):27–32
- ^ Webster, Bonnie; Southgate, Vaughan; Littlewood, Timothy (2006). "A revision of the interrelationnships of Schistosoma including the recently described Schistosoma guineensis". International Journal for Parasitology. 83 (8): 471–480. doi:10.1016/j.ijpara.2006.03.005. PMID 16730013.
- ^ Greer, George (1988). "Schistosoma malayensis n. sp.: a Schistosoma japonicum-complex schistosome from Peninsular Malaysia". J. Parasitol. 74 (3): 471–480. doi:10.2307/3282058. JSTOR 3282058. PMID 3379527.
- ^ a b c d Latif, B; Heo, CC; Razuin, R; Shamalaa, DV; Tappe, D (August 2013). "Autochthonous Human Schistosomiasis, Malaysia". Emerging Infectious Diseases. 19 (8): 1340–1341. doi:10.3201/eid1908.121710. PMC 3739520. PMID 23876448.
- ^ Attwood, S. W.; Lokman, H. S.; Ong, K. Y. (November 2005). "Robertsiella Silvicola, A New Species Of Triculine Snail (Caenogastropoda: Pomatiopsidae) From Peninsular Malaysia, Intermediate Host Of Schistosoma Malayensis (Trematoda: Digenea)". Journal of Molluscan Studies. 71 (4): 379–391. doi:10.1093/mollus/eyi040.
- ^ Boo-Liat, Lim (November 1970). "Distribution, Relative Abundance, Food Habits, and Parasite Patterns of Giant Rats (Rattus) in West Malaysia". Journal of Mammalogy. 51 (4): 730–740. doi:10.2307/1378298. JSTOR 1378298. PMID 5530310.
