Oncology
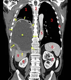
![]() A coronal CT scan showing a malignant mesothelioma, indicated by the asterisk and the arrows | |
| Focus | Cancerous tumor |
|---|---|
| Subdivisions | Medical oncology, radiation oncology, surgical oncology |
| Significant tests | Tumor markers, TNM staging, CT scans, MRI, PET-CT |
| Occupation | |
|---|---|
Occupation type | Specialty |
Activity sectors | Medicine |
| Description | |
Fields of employment | Hospitals, clinics, clinical research centers |
Oncology is a branch of medicine that deals with the study, treatment, diagnosis, and prevention of cancer.[1][2] A medical professional who practices oncology is an oncologist. The etymological origin of oncology is the Greek word ὄγκος (ónkos), meaning "tumor", "volume" or "mass".
Oncology is focused on the diagnosis of cancer in a person, therapy (e.g., surgery, chemotherapy, radiotherapy and other modalities), monitoring of people after treatment, palliative care for people with advanced-stage cancers, ethical questions surrounding cancer care, screening of people who may have cancer, and the study of cancer treatments through clinical research.[1][3]
An oncologist typically focuses on a specialty area in cancer treatment, such as surgery, radiation, gynecological oncology, geriatric oncology, pediatric oncology, and various organ-specific disciplines (breast, brain, liver, among others).[1][2]
Diagnosis
Medical histories are an important screening tool to assess the concerns and nonspecific symptoms in a patient (such as fatigue, weight loss, unexplained anemia, fever of unknown origin, paraneoplastic phenomena and other signs) that may require further evaluation for malignancy.[3][4][5]
Diagnostic methods[6] in oncology may include a biopsy or resection; these are methods used to remove suspicious neoplastic cells, which can be removed in part or in whole, and examined by a pathologist to assess for malignancy.[7][8] This is is essential for determining the next step in the appropriate course of management (active surveillance, surgery, radiation therapy,[9] chemotherapy, or a combination of these).[10]
Other diagnostic procedures may include an endoscopy, either upper or lower gastrointestinal, cystoscopy[11], bronchoscopy,[12] or nasendoscopy[13] to localize tissues suspicious for malignancy and biopsy,[14] mammograms, X-rays, CT scanning, MRI scanning, ultrasound and other radiological techniques to localize and guide biopsy.[4] Scintigraphy, single photon emission computed tomography (SPECT), positron emission tomography (PET) and other methods of nuclear medicine are imaging technologies used to identify areas suspicious of malignancy. Blood tests, including tumor markers, can assist diagnosis of certain types of cancers.
Apart from diagnoses, these modalities (especially imaging by CT scanning) are often used to determine operability, i.e., whether it is surgically possible to remove a tumor in its entirety.
A tissue diagnosis (from a biopsy) by a pathologist is essential for the proper classification of cancer[15] and to guide the next step of treatment. In extremely rare instances when this is not possible, "empirical therapy" (without an exact diagnosis) may be considered, based on the available evidence (e.g., history, x-rays and scans).
Immunohistochemical markers[16] often give a strong indication of the primary malignancy. This situation is referred to as "malignancy of unknown primary", and again, treatment is empirically based on past experience of the most likely origin.[17]
Therapy
Treament or palliative care depends on the cancer. Certain disorders (such as ALL or AML) will require immediate admission and chemotherapy. Others may be followed up with regular physical examination, medical imaging, and blood tests.
Often, surgery is attempted to remove a tumor entirely. This is only feasible when there is some degree of certainty that the tumor can in fact be removed. When it is certain that parts will remain, curative surgery is often impossible, e.g. when there are metastases, or when the tumor has invaded a structure that cannot be operated upon without risking the patient's life. Occasionally surgery can improve survival even if not all tumour tissue has been removed; the procedure is referred to as "debulking" (i.e. reducing the overall amount of tumour tissue). Surgery is also used for the palliative treatment of some cancers, e.g. to relieve biliary obstruction, or to relieve the problems associated with some cerebral tumors. The risks of surgery must be weighed against the benefits.
Chemotherapy and radiotherapy are used as a first-line radical therapy in several malignancies. They are also used for adjuvant therapy[18], i.e. when the macroscopic tumor has already been completely removed surgically but there is a reasonable statistical risk that it will recur. Chemotherapy and radiotherapy are commonly used for palliation, where disease is clearly incurable: in this situation the aim is to improve the quality of life and to prolong it.
Hormone manipulation is well established, particularly in the treatment of breast and prostate cancer.
Monoclonal antibody treatments are widely used in oncology, with established therapies such as Rituximab for lymphoma and Trastuzumab for HER2-positive breast cancer, alongside newer agents targeting various cancers. Cancer vaccines and other immunotherapies, such as checkpoint inhibitors, CAR-T cell therapy, and cytokine therapies, remain active areas of research and clinical application.[3][19]
Palliative care
Although cancers can be treated to remission with radical treatment. For pediatric patients, that number is much higher.[20] There may be ongoing issues with symptom control associated with progressive cancer, and also with the treatment of the disease. These problems may include pain, nausea, anorexia, fatigue, immobility, and depression. Not all issues are strictly physical: personal dignity may be affected. Moral and spiritual issues are also important.
While many of these problems fall within the remit of the oncologist, palliative care has matured into a separate, closely allied specialty to address the problems associated with advanced disease. Palliative care is an essential part of the multidisciplinary cancer care team.[21]
Ethical issues
There are a number of recurring ethical questions and dilemmas in oncological practice. These include:
- What information to give the patient regarding disease extent/progression/prognosis.
- Entry into clinical trials, especially in the face of terminal illness.
- Withdrawal of active treatment.[22]
- "Do Not Resuscitate" orders and other end-of-life issues.
These issues are closely related to the patient's personality, religion, culture, and family life. Though these issues are complex and emotional, the answers are often achieved by the patient seeking counsel from trusted personal friends and advisors. It requires a degree of sensitivity and very good communication on the part of the oncology team to address these problems properly.
Progress and research
There is a tremendous amount of research being conducted, ranging from cancer cell biology, and radiation therapy to chemotherapy treatment regimens and optimal palliative care and pain relief. Next-generation sequencing and whole-genome sequencing have completely changed the understanding of cancers. Identification of novel genetic/molecular markers will change the methods of diagnosis and treatment, paving the way for personalized medicine.
Therapeutic trials often involve patients from many different hospitals in a particular region. In the UK, patients are often enrolled in large studies coordinated by Cancer Research UK (CRUK),[23] Medical Research Council (MRC),[24] the European Organisation for Research and Treatment of Cancer (EORTC)[25] or the National Cancer Research Network (NCRN).
The most valued companies worldwide whose leading products are in Oncology include Pfizer (United States), Roche (Switzerland), Merck (United States), AstraZeneca (United Kingdom), Novartis (Switzerland) and Bristol-Myers Squibb (United States) who are active in the treatment areas Kinase inhibitors, Antibodies, Immuno-oncology and Radiopharmaceuticals.[26]
Specialties
- The four main divisions:
- Clinical oncology: focuses on treatment of cancer with both systemic therapies and radiation.[27]
- Medical oncology: focuses on the treatment of cancer with chemotherapy, targeted therapy, immunotherapy, and hormonal therapy.[28]
- Radiation oncology: focuses on treatment of cancer with radiation.[29]
- Surgical oncology: focuses on treatment of cancer with surgery.[29]
- Sub-specialties in Oncology:
- Adolescent and young adult (AYA) oncology.[30]
- Bone & Musculoskeletal oncology: focuses on cancers of bones and soft tissue.[31]
- Breast oncology: focuses on cancers of breast.
- Cardiooncology (an Emerging specialty) is a branch of cardiology that addresses the cardiovascular impact of cancer and its treatments.[32]
- Dermatological oncology: focuses on the medical and surgical treatment of skin, hair, sweat gland, and nail cancers
- Gastrointestinal oncology: focuses on cancers of the stomach, colon, rectum, anal canal, liver, gallbladder, pancreas.[33]
- Genitourinary oncology: focuses on cancers of genital and urinary system.[34]
- Geriatric oncology: focuses on cancers in elderly population.[35]
- Gynecologic oncology: focuses on cancers of the female reproductive system.[36]
- Head & Neck oncology: focuses on cancers of oral cavity, nasal cavity, oropharynx, hypopharynx and larynx.[37]
- Hemato oncology: focuses on cancers of blood and stem cell transplantation.[38]
- Mathematical oncology
- Molecular oncology: focuses on molecular diagnostic methods in oncology.[39]
- Neuro-oncology: focuses on cancers of brain.
- Nuclear medicine oncology: focuses on diagnosis and treatment of cancer with radiopharmaceuticals.
- Ocular oncology: focuses on cancers of eye.[40]
- Pain & Palliative oncology: focuses on treatment of end stage cancer to help alleviate pain and suffering.[41]
- Pediatric oncology: concerned with the treatment of cancer in children.[42]
- Preventive oncology: focuses on epidemiology & prevention of cancer.[43]
- Psycho-oncology: focuses on psychosocial issues on diagnosis and treatment of cancer patients.[44]
- Thoracic oncology: focuses on cancers of lung, mediastinum, oesophagus and pleura.[45]
- Veterinary oncology: focuses on treatment of cancer in animals.[46]
See also
- Organizations
References
- ^ a b c "What is oncology?". American Cancer Society. 2025. Retrieved 28 March 2025.
- ^ a b "Medical oncology - Overview". Mayo Clinic. 24 December 2024. Retrieved 28 March 2025.
- ^ a b c Singh, Sajal Raj; Bhaskar, Rakesh; Ghosh, Shampa; Yarlagadda, Bhuvaneshwar; Singh, Krishna Kumar; Verma, Prashant; Sengupta, Sonali; Mladenov, Mitko; Hadzi-Petrushev, Nikola; Stojchevski, Radoslav; Sinha, Jitendra Kumar; Avtanski, Dimiter (24 March 2025). "Exploring the Genetic Orchestra of Cancer: The Interplay Between Oncogenes and Tumor-Suppressor Genes". Cancers. 17 (7): 1082. doi:10.3390/cancers17071082. PMC 11988167. PMID 40227591.
- ^ a b "Cancer diagnosis and treatment". MD Anderson Cancer Center, University of Texas. 2025. Retrieved 28 March 2025.
- ^ Gill, Paula; Grothey, Axel; Loprinzi, Charles (2006). "Nausea and Vomiting in the Cancer Patient". In Chang, Alfred E.; Hayes, Daniel F.; Pass, Harvey I.; Stone, Richard M.; Ganz, Patricia A.; Kinsella, Timothy J.; Schiller, Joan H.; Strecher, Victor J. (eds.). Oncology. pp. 1482–1496. doi:10.1007/0-387-31056-8_83. ISBN 978-0-387-24291-0. OCLC 262690988.
- ^ "Tests and Procedures Used to Diagnose Cancer - NCI". www.cancer.gov. 2015-03-09. Retrieved 2025-08-12.
- ^ "What Are Neoplasms and Tumors?". American Cancer Society. 2025. Retrieved 13 August 2025.
- ^ "Malignancy". US National Cancer Institute. 2025. Retrieved 13 August 2025.
- ^ "Radiation Therapy for Cancer - NCI". www.cancer.gov. 2015-04-29. Retrieved 2025-08-12.
- ^ "How biopsy procedures are used to diagnose cancer". Mayo Clinic. Archived from the original on 2023-06-13. Retrieved 2023-06-13.
- ^ "What is Cystoscopy? | Cystoscopy Procedure". www.cancer.org. Retrieved 2025-08-13.
- ^ "Bronchoscopy Procedure | What is a Bronchoscopy?". www.cancer.org. Retrieved 2025-08-12.
- ^ "Nasoendoscopy". www.cancerresearchuk.org. Retrieved 2025-08-12.
- ^ "Endoscopy". British Medical Association Complete Family Health Encyclopedia. Dorling Kindersley Limited. 1990.
- ^ Kumar, Rajesh; Srivastava, Rajeev; Srivastava, Subodh (23 August 2015). "Detection and Classification of Cancer from Microscopic Biopsy Images Using Clinically Significant and Biologically Interpretable Features". Journal of Medical Engineering. 2015: 1–14. doi:10.1155/2015/457906. PMC 4782618. PMID 27006938.
- ^ "Common IHC Markers: Their Significance in Cancer Diagnosis". ampath.com. Retrieved 2025-08-12.
- ^ National Institute for Health and Clinical Excellence. Clinical guideline 104: Metastatic malignant disease of unknown primary origin: Diagnosis and management of metastatic malignant disease of unknown primary origin. London, 2010.
- ^ "Adjuvant therapy: Balance side effects with benefits". Mayo Clinic. Retrieved 2025-08-12.
- ^ Liu, Beilei; Zhou, Hongyu; Tan, Licheng; Siu, Kin To Hugo; Guan, Xin-Yuan (17 July 2024). "Exploring treatment options in cancer: tumor treatment strategies". Signal Transduction and Targeted Therapy. 9 (1) 175. doi:10.1038/s41392-024-01856-7. PMC 11252281. PMID 39013849.
- ^ Locatelli, Franco; Zugmaier, Gerhard; Bader, Peter; Jeha, Sima; Schlegel, Paul-Gerhardt; Bourquin, Jean-Pierre; Handgretinger, Rupert; Brethon, Benoit; Rossig, Claudia; Chen-Santel, Christiane (29 November 2018). "High Molecular Remission Rate in Pediatric Patients (pts) with Relapsed/Refractory B-Cell Precursor Acute Lymphoblastic Leukemia (r/r ALL) Treated with Blinatumomab: Rialto an Open-Label, Multicenter, Expanded Access Study". Blood. 132 (Supplement 1): 1375. doi:10.1182/blood-2018-99-109855.
- ^ "Palliative Care in Cancer - NCI". www.cancer.gov. 2018-01-12. Retrieved 2025-08-12.
- ^ "Withdrawing treatment". nhs.uk. 2023-07-27. Retrieved 2025-08-12.
- ^ "Cancer Research UK". Cancer Research UK. 10 May 2021. Archived from the original on 2022-12-30. Retrieved 2022-12-30.
- ^ "Home - Medical Research Council". Archived from the original on 2017-09-12. Retrieved 2004-03-29.
- ^ "European Organisation For Research And Treatment Of Cancer". EORTC. January 17, 2017. Archived from the original on October 28, 2022. Retrieved March 2, 2020.
- ^ "Top Global Pharmaceutical Company Report" (PDF). The Pharma 1000. November 2021. Archived (PDF) from the original on 2022-03-15. Retrieved 29 December 2022.
- ^ "What is clinical oncology? | the Royal College of Radiologists". Archived from the original on 2021-08-11. Retrieved 2021-08-11.
- ^ Kennedy, B.J. (1997). "Medical Oncology as a Discipline". Oncology. 54 (6): 459–462. doi:10.1159/000227603. PMID 9394841.
- ^ a b "Types of Oncologists". Cancer.Net : American Society of Clinical Oncology (ASCO). 2011-05-09. Archived from the original on 2013-06-01. Retrieved 25 May 2013.
- ^ Shaw, Peter H.; Reed, Damon R.; Yeager, Nicholas; Zebrack, Bradley; Castellino, Sharon M.; Bleyer, Archie (April 2015). "Adolescent and Young Adult (AYA) Oncology in the United States: A Specialty in Its Late Adolescence". Journal of Pediatric Hematology/Oncology. 37 (3): 161–169. doi:10.1097/MPH.0000000000000318. PMID 25757020.
- ^ Weber, Kristy L.; Gebhardt, Mark C. (April 2003). "What's new in musculoskeletal oncology". The Journal of Bone and Joint Surgery-American Volume. 85 (4): 761–767. doi:10.2106/00004623-200304000-00029. PMID 12672857.
- ^ Ghosh, AK; Walker, JM (2 January 2017). "Cardio-oncology". British Journal of Hospital Medicine. 78 (1): C11 – C13. doi:10.12968/hmed.2017.78.1.C11. PMID 28067553.
- ^ Mulder, Chris Jacob Johan (2011). "Digestive oncologist in the gastroenterology training curriculum". World Journal of Gastroenterology. 17 (9): 1109–1115. doi:10.3748/wjg.v17.i9.1109. PMC 3063902. PMID 21556128.
- ^ Bukowski, Ronald M. (2011). "Genitourinary Oncology: Current Status and Future Challenges". Frontiers in Oncology. 1: 32. doi:10.3389/fonc.2011.00032. PMC 3355990. PMID 22649760.
- ^ Vijaykumar, D K; Anupama, R; Gorasia, Tejal Kishor; Haleema Beegum, T R; Gangadharan, P (April 2012). "Geriatric oncology: The need for a separate subspecialty". Indian Journal of Medical and Paediatric Oncology. 33 (2): 134–136. doi:10.4103/0971-5851.99755. PMC 3439792. PMID 22988358.
- ^ Benedetti-Panici, P.; Angioli, R. (2004). "Gynecologic oncology specialty". European Journal of Gynaecological Oncology. 25 (1): 25–26. PMID 15053057.
- ^ Manganaris, Argyris; Black, Myles; Balfour, Alistair; Hartley, Christopher; Jeannon, Jean-Pierre; Simo, Ricard (July 2009). "Sub-specialty training in head and neck surgical oncology in the European Union". European Archives of Oto-Rhino-Laryngology. 266 (7): 1005–1010. doi:10.1007/s00405-008-0832-4. PMID 19015865.
- ^ "What is Hematology Oncology?". City of Hope. 2018-10-09. Retrieved 2025-08-13.
- ^ Jenkins, Robert (April 2001). "Principles of Molecular Oncology". The American Journal of Human Genetics. 68 (4): 1068. doi:10.1086/319526. PMC 1275628.
- ^ Natarajan, Sundaram (2015). "Ocular oncology - A multidisciplinary specialty". Indian Journal of Ophthalmology. 63 (2): 91. doi:10.4103/0301-4738.154364. PMC 4399140. PMID 25827536.
- ^ Epstein, A.S.; Morrison, R.S. (April 2012). "Palliative oncology: identity, progress, and the path ahead". Annals of Oncology. 23 (Suppl 3): iii43 – iii48. doi:10.1093/annonc/mds087. PMC 3493143. PMID 22628415.
- ^ Wdlff, James A. (January 1991). "History of Pediatric Oncology". Pediatric Hematology and Oncology. 8 (2): 89–91. doi:10.3109/08880019109033436. PMID 1863546.
- ^ Mkrtchyan, L. N. (June 2010). "On a New Strategy of Preventive Oncology". Neurochemical Research. 35 (6): 868–874. doi:10.1007/s11064-009-0110-x. PMID 20119639.
- ^ "Psycho-oncology". www.imperial.nhs.uk. 2024-11-21. Retrieved 2025-08-13.
- ^ Harish, Krishnamachar; Koushik, Agrahara Sreenivasa Kirthi (May 2015). "Multidisciplinary teams in thoracic oncology-from tragic to strategic". Annals of Translational Medicine. 3 (7): 89. doi:10.3978/j.issn.2305-5839.2015.01.31. PMC 4430737. PMID 26015931.
- ^ Breen, Matthew (August 2009). "Update on Genomics in Veterinary Oncology". Topics in Companion Animal Medicine. 24 (3): 113–121. doi:10.1053/j.tcam.2009.03.002. PMC 2754151. PMID 19732729.
Further reading
- Watson, Ian R.; Takahashi, Koichi; Futreal, P. Andrew; Chin, Lynda (2013). "Emerging patterns of somatic mutations in cancer". Nat Rev Genet. 14 (10): 703–718. doi:10.1038/nrg3539. PMC 4014352. PMID 24022702.
- Meyerson, Matthew; Gabriel, Stacey; Getz, Gad (October 2010). "Advances in understanding cancer genomes through second-generation sequencing". Nature Reviews Genetics. 11 (10): 685–696. doi:10.1038/nrg2841. PMID 20847746.
- Katsanis, Sara Huston; Katsanis, Nicholas (2013). "Molecular genetic testing and the future of clinical genomics". Nat Rev Genet. 14 (6): 415–426. doi:10.1038/nrg3493. PMC 4461364. PMID 23681062.
- Mardis, Elaine R. (August 2012). "Applying next-generation sequencing to pancreatic cancer treatment". Nature Reviews Gastroenterology & Hepatology. 9 (8): 477–486. doi:10.1038/nrgastro.2012.126. PMID 22751458.
- Mukherjee, Siddhartha (2011). The Emperor of All Maladies: A Biography of Cancer. Fourth Estate. ISBN 978-0-00-725092-9.
- Vickers, A. (1 March 2004). "Alternative Cancer Cures: 'Unproven' or 'Disproven'?". CA: A Cancer Journal for Clinicians. 54 (2): 110–118. doi:10.3322/canjclin.54.2.110. PMID 15061600.
External links
- "Comprehensive Cancer Information". National Cancer Institute. January 1980. Retrieved 2016-01-16.
- "NCCN - Evidence-Based Cancer Guidelines, Oncology Drug Compendium, Oncology Continuing Medical Education". National Comprehensive Cancer Network. Archived from the original on 2021-06-30. Retrieved 2016-01-16.
- "European Society for Medical Oncology | ESMO". www.esmo.org. Retrieved 2016-01-16.
