Myxoma
| Myxoma | |
|---|---|
![]() | |
| Micrograph of an atrial myxoma. H&E stain. | |
| Specialty | Oncology |
A myxoma (New Latin from Greek muxa 'mucus') is a myxoid tumor of primitive connective tissue.[1] It is most commonly found in the heart (and is the most common primary tumor of the heart in adults) but can also occur in other locations.
Types
Table below:[2]
| Myxoma | Margin | Vascular pattern | Cellularity | Stroma | Staining characteristics | Recurrence rate | Image (see Histology) |
|---|---|---|---|---|---|---|---|
| Cutaneous myxoma or Superficial angiomyxoma | Poor to moderately circumscribed, multilobular | Scattered thin-walled vessels | Moderately cellular, bland spindled and stellate cells, variable inflammatory cell infiltrate | Abundant mucin with clefts. Up to 30% have an associated epithelial component | Vimentin; variable staining with CD34, factor XIIIA, SMA1, MSA2 and S-100 | 20–30% | ![]() |
| Intramuscular myxoma | Poorly circumscribed merges with surrounding muscle | Hypovascular variant; hypervascular variant | Hypocellular variant; hypercellular variant; bland spindle cells | Abundant mucin with cystic spaces. Hypercellular variant has strands of collagen | Vimentin; variable staining with actin, desmin, CD34 | None | |
| Juxta-articular myxoma | Poorly circumscribed infiltrates surrounding tissue | Focally vascular | Focally hypercellular, peripheral spindle cells with occasional atypical cells and mitoses | Abundant mucin, 89% of cases contain cystic spaces lined by fibrin or collagen | Vimentin; variable staining with actin, desmin, CD34 | 34% | |
| Aggressive angiomyxoma | Infiltrative | Uniformly distributed medium-sized blood vessels often with prominent hyalinization | Low to moderately cellular, evenly distributed round, spindled or stellate cells | Loose myxoid to focally collagenous | Vimentin, desmin, SMA1, MSA2, estrogen and progesterone receptor | 36–72% | |
| Angiomyofibroblastoma | Well circumscribed | Abundant thin-walled blood vessels | Alternating hypercellular and hypocellular areas, perivascular condensations of spindled to epithelioid stromal cells | Collagenous to edematous with minimal mucin | Vimentin, desmin, CD34, estrogen and progesterone receptor | No recurrences reported, but rare cases of sarcomatous degeneration | |
| Superficial acral fibromyxoma | Pushing to infiltrative | Mild to moderately accentuated vasculature | Moderately cellular, spindle and stellate cells with a storiform to fascicular pattern, variable mast cells | Myxoid to collagenous | CD34, EMA3, CD99 | Recurrence rare and primarily for incompletely excised lesions | |
| Neurothekeoma (Nerve sheath myxoma) | Well circumscribed, multilobular | Hypovascular | Moderately cellular, spindled cells in fascicles and whorls | Nests of cells separated by collagenous bundles | S-100, EMA3 | 47% if incompletely excised |
1.^ SMA, smooth muscle actin. 2.^ MSA, muscle-specific actin. 3.^ EMA, epithelial membrane antigen.
Symptoms and signs
Symptoms associated with cardiac myxomas are typically due to the effect of the mass of the tumor obstructing the normal flow of blood within the chambers of the heart. Because pedunculated myxomas are somewhat mobile, symptoms may only occur when the patient is in a particular position.
Some symptoms of myxoma may be associated with the release of interleukin 6 (IL-6) by the myxoma.[3][4] High levels of IL-6 may be associated with a higher risk of embolism of the myxoma.[5]
Symptoms of a cardiac myxoma include:[6]
- Dyspnea on exertion
- Paroxysmal nocturnal dyspnea
- Fever
- Weight loss (see cachexia)
- Lightheadedness or syncope (Loss of consciousness)
- Hemoptysis
- Sudden death
- Tachycardia or milder heartrate, i.e. 75–100 cycl/min
Location

Ocular myxoma
Myxoma is a rare, benign stromal tumor of mesenchymal origin often confused with other conjunctival stromal tumors. Conjunctival myxomas are thought to originate in Tenon's capsule and can masquerade as conjunctival lymphoma, lymphangioma, ocular surface squamous neoplasia (OSSN), or amelanotic melanoma.[7]

Atrial myxoma
Myxomas are usually located in either the left or right atrium of the heart; about 86 percent occur in the left atrium.[8]
Myxomas are typically pedunculated, with a stalk that is attached to the interatrial septum. The most common location for attachment of the stalk is the fossa ovalis region of the interatrial septum.[9]
An atrial myxoma may create an extra heart sound, audible to auscultation just after S2. It is most seen on echocardiography, as a pedunculated mass that is heterogeneous in appearance. A left atrial myxoma will cause an increase in pulmonary capillary wedge pressure.
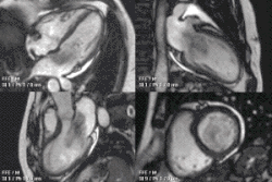
The differential diagnosis include other cardiac tumors such as lipomas and rhabdomyomas (and rarely teratomas). These other tumors of the heart are typically not pedunculated, however, and are more likely to infiltrate the muscle of the heart. Cardiac magnetic resonance imaging (MRI) can help non-invasively diagnose cardiac tumors. However, diagnosis usually requires examination of a tissue sample by a pathologist.
Treatment
Myxomas are usually removed surgically. The surgeon removes the myxoma, along with at least 5 surrounding millimeters of atrial septum. The septum is then repaired, using material from the pericardium.
Epidemiology
Cardiac myxomas predominantly appear in females in their 30s to 40s. Myxomas are the most common primary cardiac tumor affecting adults,[9] accounting for one quarter to half of primary cardiac tumors seen in clinical practice.[10]
See also
- Myxoid tumor
- Cutaneous myxoma
- Carney complex
- Myxomatosis
- Primary tumors of the heart
- Myxomatous degeneration
References
- ^ "Myxoma" at Dorland's Medical Dictionary
- ^ Satter, Elizabeth K. (2009). "Solitary superficial angiomyxoma: an infrequent but distinct soft tissue tumor". Journal of Cutaneous Pathology. 36 (s1): 56–59. doi:10.1111/j.1600-0560.2008.01216.x. ISSN 1600-0560. PMID 19187115. S2CID 1528140.
- ^ Seino Y, Ikeda U, Shimada K (1993). "Increased expression of interleukin 6 mRNA in cardiac myxomas". Br Heart J. 69 (6): 565–7. doi:10.1136/hrt.69.6.565. PMC 1025174. PMID 8343326.
- ^ Jourdan M, Bataille R, Seguin J, Zhang XG, Chaptal PA, Klein B (1990). "Constitutive production of interleukin-6 and immunologic features in cardiac myxomas". Arthritis Rheum. 33 (3): 398–402. doi:10.1002/art.1780330313. PMID 1690543.
- ^ Wada A; Kanda t; Hayashi R; et al. (1993). "Cardiac myxoma metastasized to the brain: potential role of endogenous interleukin-6". Cardiology. 83 (3): 208–11. doi:10.1159/000015180. PMID 8281536. S2CID 22543670.
- ^ Fisher J. (1983). "Cardiac myxoma". Cardiovasc Rev Rep (4): 1195–9.
- ^ Jain, Puneet; Finger, Paul T; Iacob, Codrin E (2018-11-01). "Conjunctival myxoma: A case report with unique high frequency ultrasound (UBM) findings". Indian Journal of Ophthalmology. 66 (11): 1629–1631. doi:10.4103/ijo.IJO_518_18. PMC 6213696. PMID 30355886.
- ^ Knepper LE, Biller J, Adams HP, Bruno A (1988). "Neurologic manifestations of atrial myxoma. A 12-year experience and review". Stroke. 19 (11): 1435–40. doi:10.1161/01.str.19.11.1435. PMID 3188128.
- ^ a b Cheng, Davy C.H.; Martin, Janet; David, Tirone (2020). Evidence-Based Practice in Perioperative Cardiac Anesthesia and Surgery. Springer Nature. p. 210. ISBN 9783030478872.
- ^ Takahashi, Ayaka; et al. (May 2016). "Multimodal Cardiovascular Imaging of Cardiac Tumors". Annals of Nuclear Cardiology. 2 (1): 61–67. doi:10.17996/anc.2.1_61.

