Microcalcification

Microcalcifications are tiny deposits of calcium salts that are too small to be felt but can be detected by imaging.[1]
They can be scattered throughout the mammary gland, or occur in clusters. Microcalcifications can be an early sign of breast cancer. Based on morphology, it is possible to classify by radiography how likely microcalcifications are to indicate cancer. [2]
In breast
Microcalcifications in the breast are made up of calcium phosphate or calcium oxalate. When consisting of calcium phosphate, they are usually dystrophic calcifications (occurring in degenerated or necrotic tissue).[3] Yet, the mechanism of their formation is not fully known.[4]
Calcium oxalate crystals in the breast may be seen on mammography and are usually benign, but can be associated with lobular carcinoma in situ.[5]
Microcalcification was first described in 1913 by surgeon Albert Salomon.[4]
-
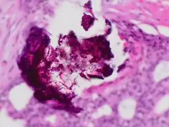
Calcium phosphate microcalcifications in non-neoplastic breast tissue. -
Histopathology of dystrophic calcium phosphate microcalcifications in ductal carcinoma in situ (DCIS) of the breast, H&E stain. -
Histopathology of calcium oxalate crystals in a benign breast cyst, H&E stain.
In contrast to an artifact of crowded cells, the DCIS calcification pictured above characteristically extends outside the focal plane, as the background DCIS is blurred in this focus.
References
- ^ "NCI Dictionary of Cancer Terms". National Cancer Institute. 2 February 2011. Retrieved 23 April 2019.
- ^ Nalawade, Yojana V (November 2009). "Evaluation of breast calcifications". The Indian Journal of Radiology & Imaging. 19 (4): 282–286. doi:10.4103/0971-3026.57208. ISSN 0971-3026. PMC 2797739. PMID 19881103.
- ^ Logullo AF, Prigenzi KCK, Nimir CCBA, Franco AFV, Campos MSDA (2022). "Breast microcalcifications: Past, present and future (Review)". Mol Clin Oncol. 16 (4): 81. doi:10.3892/mco.2022.2514. PMC 8892454. PMID 35251632.
{{cite journal}}: CS1 maint: multiple names: authors list (link) - ^ a b Wilkinson, Louise; Thomas, Val; Sharma, Nisha (2016). "Microcalcification on mammography: approaches to interpretation and biopsy". The British Journal of Radiology. 90 (1069): 20160594. doi:10.1259/bjr.20160594. ISSN 0007-1285. PMC 5605030. PMID 27648482.
- ^ Hind Warzecha, M.D. "Microcalcifications". Pathology Outlines. Last author update: 1 June 2010