Infarction occurs as a result of prolonged ischemia, which is the insufficient supply of oxygen and nutrition to an area of tissue due to a disruption in blood supply.[5] The blood vessel supplying the affected area of tissue may be blocked due to an obstruction in the vessel (e.g., an arterial embolus, thrombus, or atherosclerotic plaque), compressed by something outside of the vessel causing it to narrow (e.g., tumor, volvulus, or hernia), ruptured by trauma causing a loss of blood pressure downstream of the rupture, or vasoconstricted, which is the narrowing of the blood vessel by contraction of the muscle wall rather than an external force (e.g., cocaine vasoconstriction leading to myocardial infarction).
Infarction could be caused by damaged cholesterol plaque
Hypertension and atherosclerosis are risk factors for both atherosclerotic plaques and thromboembolism. In atherosclerotic formations, a plaque develops under a fibrous cap. When the fibrous cap is degraded by metalloproteinases released from macrophages or by intravascular shear force from blood flow, subendothelial thrombogenic material (extracellular matrix) is exposed to circulating platelets and thrombus formation occurs on the vessel wall occluding blood flow. Occasionally, the plaque may rupture and form an embolus which travels with the blood-flow downstream to where the vessel narrows and eventually clogs the vessel lumen.
Classification
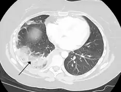
Infarction of the lung due to a pulmonary embolism
By histopathology
A blood clot could be a broken thrombosis that got clotted to the blood vessel wall.
Infarctions are divided into two types according to the amount of blood present:
Micrograph of testis showing hemorrhagic infarction. H&E stain.
By localization
Haemorrhagic infarction ileum; strangulation in a hernial sack.Hemorrhagic infarct, apex lower lobe, left lungHeart: Myocardial infarction (MI), commonly known as a heart attack, is an infarction of the heart, causing some heart cells to die. This is most commonly due to occlusion (blockage) of a coronary artery following the rupture of a vulnerable atherosclerotic plaque, which is an unstable collection of lipids (fatty acids) and white blood cells (especially macrophages) in the wall of an artery. The resulting ischemia (restriction in blood supply) and oxygen shortage, if left untreated for a sufficient period of time, can cause damage or kill heart muscle tissue (myocardium).
Histopathology at high magnification of a normal brain neuron, and a brain infarction at approximately 24 hours on H&E stain: The neurons become hypereosinophilic and there is an infiltrate of neutrophils. There is slight edema and loss of normal architecture in the surrounding neuropil.
Brain: Cerebral infarction is the ischemic kind of stroke due to a disturbance in the blood vessels supplying blood to the brain. It can be atherothrombotic or embolic.[8] Stroke caused by cerebral infarction should be distinguished from two other kinds of stroke: cerebral hemorrhage and subarachnoid hemorrhage. Cerebral infarctions vary in their severity with one third of the cases resulting in death. In response to ischemia, the brain degenerates by the process of liquefactive necrosis.[9]
Limb: Limb infarction is an infarction of an arm or leg. Causes include arterial embolisms and skeletal muscle infarction as a rare complication of long standing, poorly controlled diabetes mellitus.[11] A major presentation is painful thigh or leg swelling.[11]
Bone: Infarction of bone results in avascular necrosis. Without blood, the bone tissue dies and the bone collapses.[12] If avascular necrosis involves the bones of a joint, it often leads to destruction of the joint articular surfaces (see osteochondritis dissecans).
^Sekido, Nobuaki; Mukaida, Naofumi; Harada, Akihisa; Nakanishi, Isao; Watanabe, Yoh; Matsushima, Kouji (14 October 1993). "Prevention of lung reperfusion injury in rabbits by a monoclonal antibody against interleukin-8". Nature. 365 (6447): 654–657. Bibcode:1993Natur.365..654S. doi:10.1038/365654a0. PMID8413628.
^
Sands, Howard; Tuma, Ronald F (1999). "LEX 032: a novel recombinant human protein for the treatment of ischaemic reperfusion injury". Expert Opinion on Investigational Drugs. 8 (11): 1907–1916. doi:10.1517/13543784.8.11.1907. PMID11139833.
^Ropper, Allan H.; Adams, Raymond Delacy; Brown, Robert F.; Victor, Maurice (2005). Adams and Victor's principles of neurology. New York: McGraw-Hill Medical Pub. Division. pp. 686–704. ISBN 0-07-141620-X.
^Robbins and Cotran pathologic basis of disease. Vinay Kumar, Abul K. Abbas, Jon C. Aster, James A. Perkins (Ninth ed.). Philadelphia, PA. 2015. ISBN 978-1-4557-2613-4. OCLC879416939.{{cite book}}: CS1 maint: location missing publisher (link) CS1 maint: others (link)
^Nores, Marcos; Phillips, Edward H; Morgenstern, Leon; Hiatt, Jonathan R (February 1998). "The clinical spectrum of splenic infarction". The American Surgeon. 64 (2): 182–188. PMID9486895. ProQuest212823615.
^ abGrigoriadis, E; Fam, AG; Starok, M; Ang, LC (2000). "Skeletal muscle infarction in diabetes mellitus". The Journal of Rheumatology. 27 (4): 1063–1068. PMID10782838.
^DiGiovanni, Christopher W.; Patel, Amar; Calfee, Ryan; Nickisch, Florian (April 2007). "Osteonecrosis in the Foot". Journal of the American Academy of Orthopaedic Surgeons. 15 (4): 208–217. doi:10.5435/00124635-200704000-00004. PMID17426292.