Fecalith

Fecalith
Other namesFecolith, coprolith, stercolith
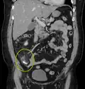
A fecalith marked by the arrow which has resulted in acute appendicitis.
SpecialtyGeneral surgery

A fecalith is a stone made of feces. It is a hardening of feces into lumps of varying size and may occur anywhere in the intestinal tract but is typically found in the colon. It is also called appendicolith when it occurs in the appendix and is sometimes concurrent with appendicitis.[1] They can also obstruct diverticula. It can form secondary to fecal impaction. A fecaloma is a more severe form of fecal impaction, and a hardened fecaloma may be considered a giant fecalith. The term is from the Greek líthos=stone.[2]

Diagnosis

Complications

A small fecalith is one cause of both appendicitis and acute diverticulitis.

See also

References

  1. ^ Al-Nakshabandi, Nizar; Aljefri, Ahmad (2009). "The stranded stone: Relationship between acute appendicitis and appendicolith". Saudi Journal of Gastroenterology. 15 (4): 258–60. doi:10.4103/1319-3767.56106. PMC 2981843. PMID 19794272.
  2. ^ Alaedeen, Diya I.; Cook, Marc; Chwals, Walter J. (May 2008). "Appendiceal fecalith is associated with early perforation in pediatric patients". Journal of Pediatric Surgery. 43 (5): 889–92. doi:10.1016/j.jpedsurg.2007.12.034. PMID 18485960.