Eosinophilic cystitis
| Eosinophilic cystitis | |
|---|---|
| Other names | EoC, EC |
![]() | |
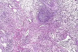
| Eosinophilic cystitis showing edematous and chronically inflamed lamina propria with numerous eosinophils. | |
| Specialty | Urology |
Eosinophilic cystitis is a rare type of interstitial cystitis first reported in 1960 by Edwin Brown.[1] Eosinophilic cystitis has been linked to a number of etiological factors, including allergies, bladder tumors, trauma to the bladder, parasitic infections, and chemotherapy drugs, though the exact cause of the condition is still unknown. The antigen-antibody response is most likely the cause of eosinophilic cystitis. This results in the generation of different immunoglobulins, which activate eosinophils and start the inflammatory process.[2]
The most typical symptom complex includes dysuria, hematuria, frequency, and suprapubic pain. For diagnosis, cystoscopy and biopsy are considered the gold standard. Peripheral eosinophilia, which is rare in patients, microscopic hematuria, proteinuria, and other laboratory findings corroborate the diagnosis.[2]
Treatment for eosinophilic cystitis is still up for debate. Antihistamines, antispasmodics, leukotriene antagonists, immunosuppressives, oral and intravesical corticosteroids, and in extreme situations, surgery have all been used in the treatment of symptoms.[3]
Signs and symptoms
The most prevalent symptoms of eosinophilic cystitis include frequency, dysuria, hematuria, and suprapubic pain. Other less typical signs and symptoms are retention of urine and nocturia.[4] Uncommon presentations documented in the literature consist of skin rash in a patient treated with mitomycin-C,[5] pneumaturia resulting from an enterovesical fistula in a patient experiencing chromic catgut suture allergy,[6] and gastrointestinal symptoms due to eosinophilic gastroenteritis.[7]
It has been noted that 2% of patients with superficial transitional cell carcinoma have bladder eosinophilia. In comparison to people without bladder eosinophilia, this has been shown to be predictive of a statistically lower tumor recurrence rate.[8] This phenomenon could be the reason for patients who have had intravesical chemotherapy or transitional cell carcinoma in the past and have underlying eosinophilic infiltration.[9]
Patients with eosinophilic cystitis typically have unremarkable physical examination results. Palpation of the abdomen typically reveals tenderness in patients who are in pain.[10] However, there have been a number of case reports of individuals who arrived with a mass in their lower abdomen.[11][12]
Complications
According to one study, the most frequent complication—which affected 27% of the patients—is dilation of the upper urinary tract.[4] The site of stenosis was the ureterovesical junction in most of the patients with eosinophilic ureteritis.[13]
Fibrosis of the bladder wall and reduced bladder compliance can compress the intramural portion of the ureter in eosinophilic cystitis.[14] When bilateral, this blockage may result in renal insufficiency[15] or a (temporary) non-functioning kidney.[16]
Patients may need blood transfusions if hematuria is severe[17] or complicated by a bleeding disorder.[18]
Causes
Numerous etiologies and connections to other illnesses have been postulated. These include various drugs,[14] intestinal damage,[19] persistent intestinal irritation, wound healing after intestinal surgery, parasitosis,[20] food and drug allergies,[21] UTIs,[22] urothelial cancer,[23] autoimmune diseases, and eosinophilic enteritis.[7]
Mechanism
The disease's pathogenesis and cause are not entirely understood. It is hypothesized that when the bladder is exposed to antigens, an antigen-antibody complex forms. This IgE-mediated reaction triggers mast cell degranulation, which draws eosinophils and results in an inflammatory reaction that damages tissue.[24]
Diagnosis
Microscopic hematuria and proteinuria are frequently seen on urinalysis. Typically, urine cultures are negative.[4] About 50% of patients with a history of allergies or atopy also have peripheral eosinophilia. Giemsa and Wright's stain can be used to identify eosinophils in urine.[2] In clinical settings, eosinophiluria linked to eosinophilic cystitis is uncommon because mucosal shedding from the urothelium occurs sparingly or eosinophils are broken down quickly.[9]
Tests for renal function are typically normal, but ureteric obstruction from intramural ureter fibrosis may cause impairment.[14] An intravenous urogram may reveal hydroureteronephrosis, bilateral or unilateral,[15] and abnormalities in the bladder and ureters, or it may be normal.[25]
An ultrasonography examination may reveal tumor-like masses and irregular thickening of the bladder wall, or it may be normal. Patients with eosinophilic cystitis who have bladder masses have been reported to have undergone other tests, such as cystograms, CT scans, and MRIs, but they do not exhibit any characteristic features.[4]
Cystoscopy typically reveals large mucosal edema along with erythematous, polypoid, velvety red lesions. It can be mistaken for vesical rhabdomyosarcoma in children.[25] Eosinophilic cystitis is hard to differentiate from other cystitis types (like interstitial and tuberculous cystitis), neoplastic lesions (like carcinoma in situ), and other bladder cancers. Therefore, in order to confirm the diagnosis of eosinophilic cystitis, biopsies are required.[2] Transmural inflammation is present histologically, primarily with eosinophils. The lamina propria has more severe edema and inflammation. A contracted bladder may result from focal muscle necrosis and varying degrees of detrusor muscle fibrosis.[26]
Treatment
Mostly conservative measures are used to treat eosinophilic cystitis. Due to the condition's variable natural history, chronicity, and recurrence risk, patients with eosinophilic cystitis require ongoing monitoring that includes pertinent blood tests, urine examinations, appropriate imaging, and cystoscopies.[27]
Removing the causing factor has a good cure rate in patients with eosinophilic cystitis secondary to allergic reactions, tranilast, or mitomycin-C. Non-steroidal anti-inflammatory drugs (NSAID) and antihistamines have been utilized as the primary management with good results when no apparent cause of eosinophilic cystitis is found in patients.[28]
Particularly for patients suffering from eosinophilic cystitis linked to UTIs, antibiotics are beneficial. Corticosteroids have proven to be an effective treatment for patients who have not responded to NSAIDs and antihistamines. By improving the lysosomal membrane's stability, these lessen bladder inflammation. Even with steroid treatment, eosinophilic cystitis symptoms may not go away.[29]
Additional therapies mentioned include silver nitrate, cyclosporin-A,[30] and intravesical dimethylsulfoxide.[31] The majority of patients have had the bladder lesion excised transurethrally, with good results. A small number of patients with progressive eosinophilic cystitis who are not improving with medication or transurethral resection may be candidates for more invasive surgeries like augmentation ileocystoplasty[32] or partial or total cystectomy.[17]
See also
References
- ^ Brown, Edwin W. (1960). "Eosinophilic Granuloma of the Bladder". Journal of Urology. 83 (5). Ovid Technologies (Wolters Kluwer Health): 665–668. doi:10.1016/s0022-5347(17)65773-2. ISSN 0022-5347.
- ^ a b c d Teegavarapu, P.S.; Sahai, A.; Chandra, A.; Dasgupta, P.; Khan, M.S. (January 6, 2005). "Eosinophilic cystitis and its management". International Journal of Clinical Practice. 59 (3). Hindawi Limited: 356–360. doi:10.1111/j.1742-1241.2004.00421.x. ISSN 1368-5031. PMID 15857336.
- ^ Cooke, W Donald; Cooke, Abigail J Tarr (2020). "Successful treatment of eosinophilic cystitis with benralizumab". Urology Case Reports. 33. Elsevier BV: 101379. doi:10.1016/j.eucr.2020.101379. ISSN 2214-4420. PMC 7574143. PMID 33102077.
- ^ a b c d van den Ouden, D. (2000). "Diagnosis and Management of Eosinophilic Cystitis". European Urology. 37 (4). Elsevier BV: 386–394. doi:10.1159/000020183. ISSN 1421-993X. PMID 10765067. S2CID 73344827. Retrieved 19 December 2023.
- ^ INGLIS, J. A.; TOLLEY, D. A.; GRIGOR, K. M. (1987). "Allergy to Mitomycin C Complicating Topical Administration for Urothelial Cancer". British Journal of Urology. 59 (6). Wiley: 547–549. doi:10.1111/j.1464-410x.1987.tb04874.x. ISSN 0007-1331.
- ^ Engler, R J; Weber, C B; Turnicky, R (April 1986). "Hypersensitivity to chromated catgut sutures: a case report and review of the literature". Annals of Allergy. 56 (4): 317–320. PMID 3963524. Retrieved 19 December 2023.
- ^ a b Gregg, J A; Utz, D C (March 1974). "Eosinophilic cystitis associated with eosinophilic gastroenteritis". Mayo Clinic Proceedings. 49 (3): 185–187. PMID 4814420.
- ^ Flamm, Johannes (1992). "Tumor-associated tissue inflammatory reaction and eosinophilia in primary superficial bladder cancer". Urology. 40 (2). Elsevier BV: 180–185. doi:10.1016/0090-4295(92)90524-z. ISSN 0090-4295. PMID 1502760.
- ^ a b Itano, N M; Malek, R S (March 2001). "Eosinophilic cystitis in adults". The Journal of Urology. 165 (3): 805–807. doi:10.1016/S0022-5347(05)66531-7. PMID 11176473.
- ^ Han, Shu-Gao (2015). "Eosinophilic gastroenteritis associated with eosinophilic cystitis: Computed tomography and magnetic resonance imaging findings". World Journal of Gastroenterology. 21 (10). Baishideng Publishing Group Inc.: 3139–3145. doi:10.3748/wjg.v21.i10.3139. ISSN 1007-9327. PMC 4356939. PMID 25780317.
- ^ Constantinides, C; Gavras, P; Stinios, J; Apostolaki, C; Dimopoulos, C (December 1994). "Eosinophilic cystitis: a rare case which presented as an invasive bladder tumor". Acta Urologica Belgica. 62 (4): 71–73. PMID 7793353.
- ^ D, Manimaran (2013). "Eosinophilic Cystitis Mimicking Bladder". Journal of Clinical and Diagnostic Research. JCDR Research and Publications. doi:10.7860/jcdr/2013/6018.3496. ISSN 2249-782X. PMC 3843435. PMID 24298501.
- ^ Mitas, John A.; Thompson, Tom (1985). "Ureteral involvement complicating eosinophilic cystitis". Urology. 26 (1). Elsevier BV: 67–70. doi:10.1016/0090-4295(85)90261-4. ISSN 0090-4295. PMID 4012985.
- ^ a b c Choe, Jong M.; Kirkemo, Aaron K.; Sirls, Larry T. (1995). "Intravesical thiotepa-induced eosinophilic cystitis". Urology. 46 (5). Elsevier BV: 729–731. doi:10.1016/s0090-4295(99)80312-4. ISSN 0090-4295. PMID 7495132.
- ^ a b Platt, Mckay L.; Kiesling, Victor J.; Vaccaro, John A. (1990). "Eosinophilic Ureteritis Associated with Eosinophilic Cholangitis: A Case Report". Journal of Urology. 144 (1). Ovid Technologies (Wolters Kluwer Health): 127–129. doi:10.1016/s0022-5347(17)39389-8. ISSN 0022-5347.
- ^ Johnson, H W; Elliott, G B; Israels, S; Balfour, J (November 1967). "Granulomatous cystitis of children, bilharzia like, occurring in British Columbia". Pediatrics. 40 (5): 808–815. doi:10.1542/peds.40.5.808. PMID 6075652. S2CID 19904839. Retrieved 19 December 2023.
- ^ a b Sidh, Suresh M.; Smith, Stephen P.; Silber, Stanley B.; Young, John D. (1980). "Eosinophilic cystitis: Advanced disease requiring surgical intervention". Urology. 15 (1). Elsevier BV: 23–26. doi:10.1016/0090-4295(80)90533-6. ISSN 0090-4295. PMID 7352339.
- ^ Botma, J P; Burger, E G; de Kock, M L (April 1987). "Eosinophilic cystitis associated with Glanzmann's thrombasthenia. A case report". South African Medical Journal. 71 (8): 533–534. PMID 3563823. Retrieved 19 December 2023.
- ^ Popert, R J M; Ramsay, J W A; Owen, R A; Fisher, C; Hendry, W F (1990). "Eosinophilic Cystitis Mimicking Invasive Bladder Tumour: Discussion Paper". Journal of the Royal Society of Medicine. 83 (12). SAGE Publications: 776–778. doi:10.1177/014107689008301209. ISSN 0141-0768. PMC 1292952. PMID 2269962.
- ^ Hansman, D. J.; Brown, Jennifer M. (1974). "Eosinophilic Cystitis: A Case Associated with Possible Hydatid Infection". Medical Journal of Australia. 2 (15). AMPCo: 563–565. doi:10.5694/j.1326-5377.1974.tb70996.x. ISSN 0025-729X.
- ^ Littleton, Ray H.; Farah, Riad N.; Cerny, Joseph C. (1982). "Eosinophilic Cystitis: An Uncommon Form of Cystitis". Journal of Urology. 127 (1). Ovid Technologies (Wolters Kluwer Health): 132–133. doi:10.1016/s0022-5347(17)53642-3. ISSN 0022-5347. PMID 7057485.
- ^ Chamberlin, Robert O. (1992). "Eosinophilic cystitis during pregnancy". American Journal of Obstetrics and Gynecology. 166 (1). Elsevier BV: 28–29. doi:10.1016/0002-9378(92)91822-r. ISSN 0002-9378. PMID 1733212.
- ^ Richard Hellstrom, H.; Davis, Bridgett K.; Shonnard, John W. (November 1, 1979). "Eosinophilic Cystitis: A Study of 16 Cases". American Journal of Clinical Pathology. 72 (5). Oxford University Press (OUP): 777–784. doi:10.1093/ajcp/72.5.777. ISSN 0002-9173. PMID 506991.
- ^ Sparks, S.; Kaplan, A.; DeCambre, M.; Kaplan, G.; Holmes, N. (2013). "Eosinophilic cystitis in the pediatric population: a case series and review of the literature". Journal of Pediatric Urology. 9 (6). Elsevier BV: 738–744. doi:10.1016/j.jpurol.2012.11.004. ISSN 1477-5131. PMID 23391564.
- ^ a b Marshall, Fray F.; Middleton, Anthony W. (1974). "Eosinophilic Cystitis". Journal of Urology. 112 (3). Ovid Technologies (Wolters Kluwer Health): 335–337. doi:10.1016/s0022-5347(17)59723-2. ISSN 0022-5347.
- ^ Kayıgil, Önder; Özbağ, Tuna; Çakar, Samı; Metin, Ahmet (2001). "Contracted bladder secondary to eosinophilic cystitis". International Urology and Nephrology. 33 (2). Springer Science and Business Media LLC: 341–342. doi:10.1023/a:1015201410322. ISSN 0301-1623. PMID 12092651. S2CID 10094618.
- ^ Thijssen, Anthony; Gerridzen, Ronald G. (1990). "Eosinophilic Cystitis Presenting as Invasive Bladder Cancer: Comments on Pathogenesis and Management". Journal of Urology. 144 (4). Ovid Technologies (Wolters Kluwer Health): 977–979. doi:10.1016/s0022-5347(17)39638-6. ISSN 0022-5347.
- ^ Motzkin, Donald (1990). "Nonsteroidal Anti-Inflammatory Drugs in the Treatment of Eosinophilic Cystitis". Journal of Urology. 144 (6). Ovid Technologies (Wolters Kluwer Health): 1464–1466. doi:10.1016/s0022-5347(17)39769-0. ISSN 0022-5347. PMID 2231945.
- ^ Rubin, Lewis; Pincus, Murray B. (1974). "Eosinophilic Cystitis: The Relationship of Allergy in the Urinary Tract to Eosinophilic Cystitis and the Pathophysiology of Eosinophilia". Journal of Urology. 112 (4). Ovid Technologies (Wolters Kluwer Health): 457–460. doi:10.1016/s0022-5347(17)59761-x. ISSN 0022-5347. PMID 4413261.
- ^ Pomeranz, Avishalom; Eliakim, Alon; Uziel, Yosef; Gottesman, Giora; Rathaus, Valeria; Zehavi, Tanya; Wolach, Baruch (December 1, 2001). "Eosinophilic Cystitis in a 4-Year-Old Boy: Successful Long-Term Treatment With Cyclosporin A". Pediatrics. 108 (6). American Academy of Pediatrics (AAP): e113. doi:10.1542/peds.108.6.e113. ISSN 0031-4005. PMID 11731640.
- ^ Sibert, L.; Khalaf, A.; Bugel, H.; Sfaxi, M.; Grise, P. (2000). "Intravesical Dimethyl Sulfoxide Instillations Can be Useful in the Symptomatic Treatment of Profuse Hematuria Due to Eosinophilic Cystitis". Journal of Urology. 164 (2): 446. doi:10.1016/S0022-5347(05)67385-5. ISSN 0022-5347. PMID 10893610.
- ^ Cardini, S; Smulevich, E; Salvadori, A; Lombardi, M (December 1997). "Augmentation ileocystoplasty in a case of eosinophilic cystitis". The Italian Journal of Urology and Nephrology. 49 (4): 219–223. PMID 9557506.
Further reading
- Mosholt, K. S. S.; Dahl, C.; Azawi, N. H. (October 13, 2014). "Eosinophilic cystitis: three cases, and a review over 10 years". Case Reports. 2014 (oct13 2). BMJ: bcr2014205708. doi:10.1136/bcr-2014-205708. ISSN 1757-790X. PMC 4202081. PMID 25312971.
- Popescu, Oana-Eugenia; Landas, Steve K.; Haas, Gabriel P. (February 1, 2009). "The Spectrum of Eosinophilic Cystitis in Males: Case Series and Literature Review". Archives of Pathology & Laboratory Medicine. 133 (2). Archives of Pathology and Laboratory Medicine: 289–294. doi:10.5858/133.2.289. ISSN 1543-2165.
- Shin, Hyun Bin; Park, Hyun Sik; Kim, Joo Heon; Park, Jinsung (2021). "A rare case of eosinophilic cystitis involving the inside and outside of the urinary bladder associated with an infected urachal cyst". BMC Urology. 21 (1): 116. doi:10.1186/s12894-021-00885-6. ISSN 1471-2490. PMC 8404243. PMID 34461879.
