Dental trauma

Dental trauma
A broken upper front tooth. The layers of tissue that make up the tooth are clearly visible, with the pink pulp standing out against the paler dentine and tooth enamel.
SpecialtyOral and maxillofacial surgery Edit this on Wikidata

Dental trauma refers to trauma (injury) to the teeth and/or periodontium (gums, periodontal ligament, alveolar bone), and nearby soft tissues such as the lips, tongue, etc. The study of dental trauma is called dental traumatology.[1]

Types

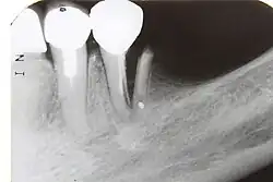
Root fracture
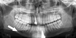
Simple mandible fracture

Dental injuries

Dental injuries include:[2][3]

Periodontal injuries

Injuries to supporting bone

3D CT of mandible fracture.

This injury involves the alveolar bone and may extend beyond the alveolus.[5][6] There are five different types of alveolar fractures:

Trauma injuries involving the alveolus can be complicated as it does not happen in isolation, very often presents along with other types of tooth tissue injuries.

Signs of dentoalveolar fracture:

  • Change to occlusion
  • Multiple teeth moving together as a segment and are normally displaced
  • Bruising of attached gingivae
  • Gingivae across the fracture line often lacerated

Investigation: Require more than one radiographic view to identify the fracture line.

Treatment: Reposition displaced teeth under local anaesthetic and stabilise the mobile segment with a splint for 4 weeks, suture any soft tissue lacerations.

Soft tissue laceration

Facial nerve branches. Facial nerve should be examined for any potential damage when buccal mucosa is involved.

Soft tissues injuries are presented commonly in association with dental trauma. Areas normally affected are lips, buccal mucosa, gingivae, frenum and tongue. The most common injuries are lips and gingivae. For lips, important to rule out presence of foreign objects in wounds and lacerations through careful examination. A radiograph can be taken to identify any potential foreign objects.[5][6]

Gingivae lacerations that are small normally heals spontaneously and do not require any intervention. However, this can be one of the clinical presentation of an alveolar fracture. Gingivae bleeding especially around the margins may suggest injury to the periodontal ligament of the tooth.

The facial nerve and parotid duct should be examined for any potential damage when the buccal mucosa is involved.

Deep tissue wounds should be repaired in layers with sutures that are resorbable.

Primary teeth

Trauma to primary teeth occurs most commonly at the age of two to three years, during the development of motor coordination.[7] When primary teeth are injured, the resulting treatment prioritises the safety of the adult tooth,[7] and should avoid any risk of damaging the permanent successors.[8] This is because the root apex of an injured primary tooth lies near the tooth germ of the adult tooth.[8]

Therefore, a displaced primary tooth will be removed if it is found to have encroached upon the developing adult tooth germ.[8] If this happens, parents should be advised of possible complications such as enamel hypoplasia, hypocalcification, crown/root dilaceration, or disruptions in tooth eruption sequence.[9]

Potential sequelae can involve pulpal necrosis, pulp obliteration and root resorption.[10] Necrosis is the most common complication and an assessment is generally made based on the colour supplemented with radiograph monitoring. A change in colour may mean that the tooth is still vital but if this persists it is likely to be non-vital.

Permanent teeth

Dental injuries

Dental injury[2] Clinical findings Radiographic findings Treatment Follow-up
1) Enamel infraction A crack in enamel with no loss of tooth structure

Tooth is not tender

No abnormalities


Generally no treatment needed

Discolouration of prominent cracks can be prevented by etching and sealing with resin

No follow-up required
2) Enamel fracture Fracture involving enamel only

Tooth not tender with normal mobility and pulpal response

Loss of enamel

May need lip or cheek  x-ray to locate tooth fragments or other materials

If available, tooth fragment can be bonded back onto the tooth

If not available, tooth can be restored with composite resin

6–8 weeks: clinical and radiographic examination

1 year: clinical and radiographic examination

3) Enamel-dentine fracture Fracture involving both enamel and dentine without pulp exposure

Tooth not tender with normal mobility and pulpal response

Loss of enamel and dentine

May need lip or cheek  x-ray to locate tooth fragments or other materials

If available, tooth fragment can be bonded back onto the tooth

If not available, tooth can be restored with composite resin

If dentine is within 0.5mm of the pulp, calcium hydroxide placed and covered with glass ionomer

6–8 weeks: clinical and radiographic examination

1 year: clinical and radiographic examination

4) Enamel-dentine-pulp fracture Fracture involving enamel and dentine with pulp exposure

Tooth not tender with normal mobility

Exposed pulp will be sensitive to stimuli

Loss of enamel and dentine

May need lip or cheek  x-ray to locate tooth fragments or other materials

In developing teeth, preserve pulp vitality by pulp capping or partial pulpotomy using calcium hydroxide

In mature teeth, root canal treatment is usually performed

6–8 weeks: clinical and radiographic examination

1 year: clinical and radiographic examination

5) Crown-root fracture without pulp involvement Fracture involving enamel, dentine and cementum without  pulp exposure

Fracture extends below the gum margin

Tender tooth with mobile crown fragment

Fracture line extending down the root may not be visible Emergency:

aim is to stabilise the loose fragment by splinting it to adjacent teeth

Non-emergency:

removal of loose fragment (following gingivectomy, surgery or via orthodontics), root canal treatment and restoration with post-retained crown

In extreme cases (such as a vertical fracture), tooth may need to be extracted

6–8 weeks: clinical and radiographic examination

1 year: clinical and radiographic examination

6) Crown-root fracture with pulp Involvement Fracture involving enamel, dentine and cementum with pulp exposure

Tender tooth with mobile crown fragment

Fracture line extending down the root may not be visible Emergency:

aim is to stabilise the loose fragment by splinting it to adjacent teeth

In developing teeth, preserve pulp vitality by pulp capping or partial pulpotomy using calcium hydroxide

In mature teeth, root canal treatment is usually performed

Non-emergency:

removal of loose fragment (following gingivectomy, surgery or via orthodontics), root canal treatment and restoration with post-retained crown

In extreme cases (such as a vertical fracture), tooth may need to be extracted

6–8 weeks: clinical and radiographic examination

1 year: clinical and radiographic examination

7) Root fracture Mobile or displaced crown segment

Tender tooth that may be bleeding from the gum

Tooth may be discoloured (red or grey)

Fracture line involving the root will be seen as well as the direction If displaced, reposition tooth and check the position with an x-ray

Flexible splint used to stabilise tooth for at least 4 weeks and then reassess tooth stability

Monitor healing for at least 1 year to assess the status of the pulp

Root canal treatment will be needed if pulp necrosis develops (this occurs in ~20% of root fractures)

4 weeks: splint removal, clinical and radiographic examination

6–8 weeks: clinical and radiographic examination

4 months: splint removal in cervical third fractures, clinical and radiographic examination

6 months: clinical and radiographic examination

1 year: clinical and radiographic examination

5 years: clinical and radiographic examination

Periodontal injuries

Periodontal injury[2] Clinical findings Radiographic findings Treatment Follow-up
1) Concussion Tender tooth with no displacement and normal mobility No abnormalities No treatment required 4 weeks: clinical and radiographic examination

6–8 weeks: clinical and radiographic examination

1 year: clinical and radiographic examination

2) Subluxation Tender tooth with no displacement but increased mobility

May be bleeding from the gum

No abnormalities Usually no treatment required

Can use a flexible splint to stabilise the tooth for up to 2 weeks

2 weeks: splint removal, clinical and radiographic examination

4 weeks: clinical and radiographic examination

6–8 weeks: clinical and radiographic examination

6 months: clinical and radiographic examination

1 year: clinical and radiographic examination

3) Extrusion Tooth looks longer and is very mobile Periodontal ligament space is increased apically Tooth is repositioned gently in the socket

Tooth stabilised with a flexible splint for 2 weeks

Signs and symptoms of pulp necrosis indicates the need for root canal treatment to prevent root resorption

2 weeks: splint removal, clinical and radiographic examination

4 weeks: clinical and radiographic examination

6–8 weeks: clinical and radiographic examination

6 months: clinical and radiographic examination

1 year: clinical and radiographic examination yearly

5 years: clinical and radiographic examination

4) Lateral luxation Tooth is displaced, most commonly towards the roof of the mouth/tongue or the lip

Tooth will be immobile

Tapping on the tooth will give a high-pitched, metallic (ankylotic) sound

Alveolar process fracture

Periodontal ligament space is widened Reposition the tooth using fingers or forceps to remove its "bony lock" and gently reposition it in the socket

Tooth stabilised with a flexible splint for 4 weeks

Signs and symptoms of pulp necrosis indicates the need for root canal treatment to prevent root resorption

2 weeks: clinical and radiographic examination

4 weeks: splint removal, clinical and radiographic examination

6–8 weeks: clinical and radiographic examination

6 months: clinical and radiographic examination

1 year: clinical and radiographic examination

Yearly for 5 years: clinical and radiographic examination

5) Intrusion Tooth is displaced into the alveolar bone

Tapping on the tooth will give a high-pitched, metallic (ankylotic) sound

Absence of periodontal ligament space from part or entirety of the root

Cemento-enamel junction appears more apically for the traumatised tooth

If  incomplete root formation:

allow time for tooth to naturally erupt but if no movement after a few weeks then start orthodontic repositioning

intruded >7mm:

surgical or orthodontic repositioning

stabilise with flexible splint for 4 weeks after repositioning

If complete root formation:

intruded <3mm: allow time for natural eruption but if no movement after 2–4 weeks then reposition surgically or orthodontically

intruded 3-7mm:

surgical or orthodontic repositioning

intruded >7mm:

surgical repositioning

likelihood of pulpal necrosis in these teeth so root canal therapy with temporary calcium hydroxide filling in first instance and start root canal treatment 2–3 weeks after repositioning

stabilise with flexible splint for 4 weeks after repositioning

2 weeks: clinical and radiographic examination

4 weeks: splint removal, clinical and radiographic examination

6–8 weeks: clinical and radiographic examination

6 months: clinical and radiographic examination

1 year: clinical and radiographic examination

Yearly for 5 years: clinical and radiographic examination

6) Avulsion Tooth completely removed from socket Radiograph required to ensure that missing tooth is not intruded For information on first aid procedures for avulsed teeth, see "Management" section of this page

Treatment will depend on whether the tooth has an open or closed apex and how long the tooth has been out of the mouth prior to dental clinic arrival (see Dental Trauma Guide for full treatment details)

4 weeks: splint removal, clinical and radiographic examination

3 months: clinical and radiographic examination

6 months: clinical and radiographic examination

1 year: clinical and radiographic examination yearly

Risk factors

Prevention

Prevention in general is relatively difficult as it is nearly impossible to stop accidents from happening, especially in children who are quite active. Regular use of a gum shield during sports and other high-risk activities (such as military training) is the most effective prevention for dental trauma.[26][27] They are mainly being fitted on the upper teeth as it has higher risk of dental trauma compared to the lower teeth. Gum shields ideally have to be comfortable for users, retentive, odourless, tasteless and the materials should not be causing any harm to the body.[28] However, studies in various high-risk populations for dental injuries have repeatedly reported low compliance of individuals for the regular using of mouthguard during activities.[29] Moreover, even with regular use, effectiveness of prevention of dental injuries is not complete, and injuries can still occur even when mouthguards are used as users are not always aware of the best makes or size, which inevitably result in a poor fit.[18]

Types of gum shield:[28][30]

  • Stock ready-moulded
    • Not recommended as it does not conform the teeth at all
    • Poor retention
    • Poor fit
    • Higher risk of dislodging during contact sports and airway occlusion which may lead to respiratory distress
  • Self-moulded/Boil and bite
    • Limited range of sizes, which may result in poor fitting
    • Can be easily remoulded if distorted
    • Cheap
  • Custom-made
    • Made with ethylene vinyl acetate
    • The most ideal type of gum shield[31]
    • Good retention
    • Able to build in multiple layers/laminations
    • Expensive

One of the most important measures is to impart knowledge and awareness about dental injury to those who are involved in sports environments like boxing and in school children in which they are at high risk of suffering dental trauma through an extensive educational campaign including lectures, leaflets, posters which should be presented in an easy understandable way.[32]

Management

The management depends on the type of injury involved and whether it is a baby or an adult tooth. If teeth are completely knocked out baby front teeth should not be replaced. The area should be cleaned gently and the child brought to see a dentist. Adult front teeth (which usually erupt at around six years of age) can be replaced immediately if clean. If a tooth is avulsed, make sure it is a permanent tooth (primary teeth should not be replanted, and instead the injury site should be cleaned to allow the adult tooth to begin to erupt).

  • Reassure the patient and keep them calm.
  • If the tooth can be found, pick it up by the crown (the white part). Avoid touching the root part.
  • If the tooth is dirty, wash it briefly (ten seconds) under cold running water but do not scrub the tooth.
  • Place the tooth back in the socket where it was lost from, taking care to place it the correct way (matching the other tooth)
  • Encourage the patient to bite on a handkerchief to hold the tooth in position.
  • If it is not possible to replace the tooth immediately, ideally, the tooth should be placed in Hank's balanced salt solution,[33] if not available, in a glass of milk or a container with the patient's saliva or in the patient's cheek (keeping it between the teeth and the inside of the cheek – note this is not suitable for young children who may swallow the tooth). Transporting the tooth in water is not recommended, as this will damage the delicate cells that make up the tooth's interior.
  • Seek emergency dental treatment immediately.

When the injured teeth are painful while functioning due to damage to the periodontal ligaments (e.g., dental subluxation), a temporary splinting of the injured teeth may relieve the pain and enhance eating ability.[34] Splinting should only be used in certain situations. Splinting in lateral and extrusive luxation had a poorer prognosis than in root fractures.[35] An avulsed permanent tooth should be gently rinsed under tap water and immediately re-planted in its original socket within the alveolar bone and later temporarily splinted by a dentist.[4] Failure to re-plant the avulsed tooth within the first 40 minutes after the injury may result in very poor prognosis for the tooth.[4] Management of injured primary teeth differs from management of permanent teeth; an avulsed primary tooth should not be re-planted (to avoid damage to the permanent dental crypt).[8] This is due to the close proximity of the apex of a primary tooth to the permanent tooth underneath. The permanent dentition can suffer from tooth malformation, impacted teeth and eruption disturbances due to trauma to primary teeth. The priority should always be reducing potential damage to the underlying permanent dentition.[36]

For other injuries, it is important to keep the area clean by using a soft toothbrush and antiseptic mouthwash such as chlorhexidine gluconate. Soft foods and avoidance of contact sports is also recommended in the short term. Dental care should be sought as quickly as possible.

Splinting

A tooth that has experienced trauma may become loose due to the periodontal ligament becoming damaged or fracture to the root of the tooth. Splinting ensures that the tooth is held in the correct position within the socket, ensuring that no further trauma occurs to enable healing.[37] A splint can either be flexible or rigid. Flexible splints do not completely immobilise the traumatised tooth and still allow for functional movement. Contrastingly, rigid splints completely immobilise the traumatised tooth.[38] The International Association of Dental Traumatology (IADT) guidelines recommend the use of flexible, non-rigid splints for a short duration by stating that both periodontal and pulpal healing is encouraged if the traumatised tooth is allowed slight movement and if the splinting time is not too long.[39][40]

Complications

Not all sequelae of trauma are immediate and many of them can occur months or years after the initial incident thus required prolonged follow-up. Common complications are pulpal necrosis, pulpal obliteration, root resorption and damage to the successors teeth in primary teeth dental trauma. The most common complication was pulp necrosis (34.2%). 50% of the tooth that have trauma related to avulsion experienced ankylotic root resorption after a median TIC (time elapsed between the traumatic event and the diagnosis of complications) of 1.18 years. Teeth that have multiple traumatic events also showed to have higher chance of pulp necrosis (61.9%) compared to teeth that experienced a single traumatic injury (25.3%) in the studies (1)[41]

Image shows a grey discoloured upper right front incisor, usually indicating that the tooth is non-vital

Pulpal necrosis

Pulp necrosis usually occurs either as ischaemic necrosis (infarction) caused by disruption to the blood supply at the apical foramen or as an infection-related liquefactive necrosis following dental trauma (2). Signs of pulpal necrosis include[42]

  • Persistent grey colour to tooth that does not fade
  • Radiographic signs of periapical inflammation
  • Clinical signs of infection: tenderness, sinus, suppuration, swelling

Treatment options will be extraction for the primary tooth. For the permanent tooth, endodontic treatment can be considered.

Radiographic signs of periapical inflammation is usually evident in a tooth with necrotic pulp

Root resorption

Root resorption following traumatic dental injuries, whether located along the root surface or within the root canal appears to be a sequel to wound healing events, where a significant amount of the PDL or pulp has been lost due to the effect of acute trauma.[43]

Pulpal obliteration

4–24% of traumatized teeth will have some degrees of pulpal obliteration that is characterized by the loss of pulpal space radiographically and yellow discolouration of the clinical crown. No treatment is needed if it is asymptomatic. Treatment options will be extraction for symptomatic primary tooth. For symptomatic permanent tooth, root canal treatment is often challenging because the pulp chamber is filled with calcified material and the drop-off sensation of entering a pulp chamber will not occur.[44]

Damage to the successor teeth

Dental trauma to the primary teeth might cause damage to the permanent teeth. Damage to the permanent teeth especially during development stage might have following consequences:[45]

Epidemiology

Dental trauma is most common in younger people, accounting for 17% of injuries to the body in those aged 0–6 years compared to an average of 5% across all ages.[46] It is more frequently observed in males compared to females.[47] Traumatic dental injuries are more common in permanent teeth compared to deciduous teeth and usually involve the front teeth of the upper jaw.[48]

"The oral region comprises 1% of the total body area, yet it accounts for 5% of all bodily injuries. In preschool children, oral injuries make up as much as 17% of all bodily injuries. The incidence of traumatic dental injuries is 1–3%, and the prevalence is steady at 20–30%."[49]

Almost 30% of the children in pre-school have mostly experienced trauma to primary teeth. Dental injuries involving the permanent teeth happen to almost 25% of children in school and 30% of adults. The incident varies in different countries as well as within the country itself. Dental traumatic accidents depends on one's activity status and also the surrounding environment factor but these are the main predisposing risk factor compared to a person's age and gender.[50]

Trauma is the most common cause of loss of permanent incisors in childhood. Dental trauma often leads to complications such as pulpal necrosis, and it is nearly impossible to predict the long-term prognosis of the injured tooth; the injury often results in long-term restorative problems.[51][52][53]

Dental Injuries in Sports

Types of hard tissue injuries may include injuries to teeth[54][55][56] and bones and occur less frequently than soft tissue injuries in sports, but they are often more serious. Hard tissue injuries of the teeth and bones can occur with bruises such as Battle’s sign, which indicates a basal skull fracture,[57][58] and so-called raccoon eyes, which indicate midface fractures. However, tooth fractures are the most common type of dental injury and can be classified as crown cracks,[59][60] enamel-only fractures, enamel and dentin fractures, and fractures extending through enamel and dentin into the pulp, as defined below.

  • Avulsed teeth constitute a dental emergency and, if not treated within minutes after the injury, can lead to permanent tooth loss.[61]
  • Crown injuries are characterized by the disruption of enamel prisms under the influence of traumatic force. Such injuries usually manifest as small cracks affecting only the enamel.
  • Fractures affecting only the enamel are minor and often appear as irregularities at the edge of the tooth crown. These injuries often go unnoticed by the athlete since they are generally not sensitive to touch or temperature changes. Enamel-only fractures are not considered dental emergencies and do not require immediate medical attention.
  • Enamel and dentin crown fractures typically represent a tooth fracture limited to enamel and dentin with loss of tooth structure but without exposing the pulp.[62] Athletes often complain of increased sensitivity to air, cold, or touch, but may return to play if circumstances allow, and referral to a healthcare professional can be postponed for up to 24 hours.
  • Enamel, dentin, and pulp fractures extend through enamel and dentin into the pulp. If the pulp is vital, a hemorrhagic focus will be visible in the yellow dentin layer, and the athlete may complain of acute pain. Immediate consultation with a dentist specializing in traumatic injuries is necessary.[63]

See also

References

  1. ^ Textbook and Color Atlas of Traumatic Injuries to the Teeth, Fourth Edition, edited by Andreason J, Andreasen F, and Andersson L, Wiley-Blackwell, Oxford, UK, 2007
  2. ^ a b c "Permanent teeth – Dental Trauma Guide". Retrieved 2019-01-20.
  3. ^ "Primary teeth – Dental Trauma Guide". Retrieved 2019-01-20.
  4. ^ a b c Flores MT, Andersson L, Andreasen JO, Bakland LK, Malmgren B, Barnett F, Bourguignon C, DiAngelis A, Hicks L, Sigurdsson A, Trope M, Tsukiboshi M, von Arx T (June 2007). "Guidelines for the management of traumatic dental injuries. II. Avulsion of permanent teeth". Dental Traumatology. 23 (3): 130–6. doi:10.1111/j.1600-9657.2007.00605.x. PMID 17511833.
  5. ^ a b Tagar H, Djemal S (September 2017). "Oral surgery II: Part 1. Acute management of dentoalveolar trauma". British Dental Journal. 223 (6): 407–416. doi:10.1038/sj.bdj.2017.805. PMID 28937097. S2CID 205668709.
  6. ^ a b Durham J, Moore UJ, Hill CM, Renton T (December 2017). "Oral surgery II: Part 6. Oral and maxillofacial trauma". British Dental Journal. 223 (12): 877–883. doi:10.1038/sj.bdj.2017.995. PMID 29269898. S2CID 19070108.
  7. ^ a b Flores, Marie Therese (2002). "Traumatic injuries in the primary dentition". Dental Traumatology. 18 (6): 287–298. doi:10.1034/j.1600-9657.2002.00153.x. ISSN 1600-4469. PMID 12656861.
  8. ^ a b c d e Flores MT, Malmgren B, Andersson L, Andreasen JO, Bakland LK, Barnett F, Bourguignon C, DiAngelis A, Hicks L, Sigurdsson A, Trope M, Tsukiboshi M, von Arx T (August 2007). "Guidelines for the management of traumatic dental injuries. III. Primary teeth". Dental Traumatology. 23 (4): 196–202. doi:10.1111/j.1600-9657.2007.00627.x. PMID 17635351.
  9. ^ a b "Guideline on Management of Acute Dental Trauma" (PDF). Council on Clinical Affairs. 2011.
  10. ^ Welbury RR, Duggal MS, Hosey MT, eds. (2007). Paediatric Dentistry (Third ed.). Oxford, UK: Oxford University Press. ISBN 978-0071445085.
  11. ^ a b Jesus MA, Antunes LA, Risso P, Freire MV, Maia LC (January 2010). "Epidemiologic survey of traumatic dental injuries in children seen at the Federal University of Rio de Janeiro, Brazil". Brazilian Oral Research. 24 (1): 89–94. doi:10.1590/S1806-83242010000100015. PMID 20339720.
  12. ^ Ivancic Jokic N, Bakarcic D, Fugosic V, Majstorovic M, Skrinjaric I (February 2009). "Dental trauma in children and young adults visiting a University Dental Clinic". Dental Traumatology. 25 (1): 84–7. doi:10.1111/j.1600-9657.2008.00711.x. PMID 19208016.
  13. ^ Perez R, Berkowitz R, McIlveen L, Forrester D (October 1991). "Dental trauma in children: a survey". Endodontics & Dental Traumatology. 7 (5): 212–3. doi:10.1111/j.1600-9657.1991.tb00438.x. PMID 1687388.
  14. ^ Young EJ, Macias CR, Stephens L (May 2015). "Common Dental Injury Management in Athletes". Sports Health. 7 (3): 250–5. doi:10.1177/1941738113486077. PMC 4482297. PMID 26131303.
  15. ^ Levin L, Zadik Y, Becker T (December 2005). "Oral and dental complications of intra-oral piercing". Dental Traumatology. 21 (6): 341–3. doi:10.1111/j.1600-9657.2005.00395.x. PMID 16262620.
  16. ^ Leichter, Jonathan W.; Monteith, Brian D. (February 2006). "Prevalence and risk of traumatic gingival recession following elective lip piercing". Dental Traumatology. 22 (1): 7–13. doi:10.1111/j.1600-9657.2006.00332.x. PMID 16422752.
  17. ^ Hennequin-Hoenderdos, N. L.; Slot, D. E.; Van der Weijden, G. A. (February 2016). "The incidence of complications associated with lip and/or tongue piercings: a systematic review". International Journal of Dental Hygiene. 14 (1): 62–73. doi:10.1111/idh.12118. PMID 25690049.
  18. ^ a b Zadik Y, Levin L (December 2008). "Orofacial injuries and mouth guard use in elite commando fighters". Military Medicine. 173 (12): 1185–7. doi:10.7205/milmed.173.12.1185. PMID 19149336.
  19. ^ Zadik Y, Levin L (February 2009). "Oral and facial trauma among paratroopers in the Israel Defense Forces". Dental Traumatology. 25 (1): 100–2. doi:10.1111/j.1600-9657.2008.00719.x. PMID 19208020.
  20. ^ Zadik Y (Jul–Aug 2009). "Dental barotrauma". The International Journal of Prosthodontics. 22 (4): 354–7. PMID 19639071.
  21. ^ Zadik Y, Drucker S (September 2011). "Diving dentistry: a review of the dental implications of scuba diving". Australian Dental Journal. 56 (3): 265–71. doi:10.1111/j.1834-7819.2011.01340.x. PMID 21884141.
  22. ^ Zadik Y (January 2009). "Aviation dentistry: current concepts and practice". British Dental Journal. 206 (1): 11–6. doi:10.1038/sj.bdj.2008.1121. PMID 19132029.
  23. ^ Borzabadi-Farahani A, Borzabadi-Farahani A (December 2011). "The association between orthodontic treatment need and maxillary incisor trauma, a retrospective clinical study". Oral Surgery, Oral Medicine, Oral Pathology, Oral Radiology, and Endodontics. 112 (6): e75–80. doi:10.1016/j.tripleo.2011.05.024. PMID 21880516.
  24. ^ Borzabadi-Farahani A, Borzabadi-Farahani A, Eslamipour F (October 2010). "An investigation into the association between facial profile and maxillary incisor trauma, a clinical non-radiographic study". Dental Traumatology. 26 (5): 403–8. doi:10.1111/j.1600-9657.2010.00920.x. PMID 20831636.
  25. ^ Otuyemi OD (June 1994). "Traumatic anterior dental injuries related to incisor overjet and lip competence in 12-year-old Nigerian children". International Journal of Paediatric Dentistry. 4 (2): 81–5. doi:10.1111/j.1365-263X.1994.tb00109.x. PMID 7748855.
  26. ^ Zadik Y, Levin L (February 2009). "Does a free-of-charge distribution of boil-and-bite mouthguards to young adult amateur sportsmen affect oral and facial trauma?". Dental Traumatology. 25 (1): 69–72. doi:10.1111/j.1600-9657.2008.00708.x. PMID 19208013.
  27. ^ McCrory, Paul (2001-04-01). "Do mouthguards prevent concussion?". British Journal of Sports Medicine. 35 (2): 81–82. doi:10.1136/bjsm.35.2.81. ISSN 0306-3674. PMC 1724314. PMID 11273965.
  28. ^ a b Jennings, D C (September 1990). "Injuries sustained by users and non-users of gum shields in local rugby union". British Journal of Sports Medicine. 24 (3): 159–165. doi:10.1136/bjsm.24.3.159. ISSN 0306-3674. PMC 1478784. PMID 2078800.
  29. ^ Zadik Y, Jeffet U, Levin L (December 2010). "Prevention of dental trauma in a high-risk military population: the discrepancy between knowledge and willingness to comply". Military Medicine. 175 (12): 1000–3. doi:10.7205/MILMED-D-10-00150. PMID 21265309.
  30. ^ Patrick DG, van Noort R, Found MS (May 2005). "Scale of protection and the various types of sports mouthguard". British Journal of Sports Medicine. 39 (5): 278–81. doi:10.1136/bjsm.2004.012658. PMC 1725211. PMID 15849291.
  31. ^ Kerr, I. L. (November 1986). "Mouth guards for the prevention of injuries in contact sports". Sports Medicine (Auckland, N.Z.). 3 (6): 415–427. doi:10.2165/00007256-198603060-00003. ISSN 0112-1642. PMID 3538271. S2CID 27022731.
  32. ^ Emerich K, Nadolska-Gazda E (July 2013). "Dental trauma, prevention and knowledge concerning dental first-aid among Polish amateur boxers". Journal of Science and Medicine in Sport. 16 (4): 297–301. doi:10.1016/j.jsams.2012.10.002. PMID 23146163.
  33. ^ Adnan S, Lone MM, Khan FR, Hussain SM, Nagi SE (April 2018). "Which is the most recommended medium for the storage and transport of avulsed teeth? A systematic review". Dental Traumatology. 34 (2): 59–70. doi:10.1111/edt.12382. PMID 29292570.
  34. ^ Flores MT, Andersson L, Andreasen JO, Bakland LK, Malmgren B, Barnett F, Bourguignon C, DiAngelis A, Hicks L, Sigurdsson A, Trope M, Tsukiboshi M, von Arx T (April 2007). "Guidelines for the management of traumatic dental injuries. I. Fractures and luxations of permanent teeth". Dental Traumatology. 23 (2): 66–71. doi:10.1111/j.1600-9657.2007.00592.x. PMID 17367451.
  35. ^ Cho WC, Nam OH, Kim MS, Lee HS, Choi SC (May 2018). "A retrospective study of traumatic dental injuries in primary dentition: treatment outcomes of splinting". Acta Odontologica Scandinavica. 76 (4): 253–256. doi:10.1080/00016357.2017.1414956. PMID 29228861. S2CID 10223497.
  36. ^ Malmgren B, Andreasen JO, Flores MT, Robertson A, DiAngelis AJ, Andersson L, Cavalleri G, Cohenca N, Day P, Hicks ML, Malmgren O, Moule AJ, Onetto J, Tsukiboshi M (September 2017). "Guidelines for the Management of Traumatic Dental Injuries: 3. Injuries in the Primary Dentition". Pediatric Dentistry. 39 (6): 420–428. doi:10.1111/j.1600-9657.2012.01146.x. PMID 29179384.
  37. ^ WELBURY R., DUGGAL M.S. and HOSEY M.T. (2012) Paediatric Dentistry. 4th ed. Chapter 12: Traumatic Injuries to the Teeth. Oxford University Press. Pages 237,238
  38. ^ KAHLER B., HU J.Y., MARRIOT-SMITH C.S. and HEITHERSAY G.S. (2016). Splinting of teeth following trauma: a review and a new splinting recommendation. Australian Dental Journal. 61(1): 59-73
  39. ^ DIANGELIS A.J., ANDREASEN J.O., EBELESEDER K.A., KENNY D.J., TROPE M., SIGURDSSON A., ANDERSSON L., BOURGUIGNON C., FLORES M.T., HICKS M.L., LENZI A.R., MALMGREN B., MOULE A.J., POHL Y. and TSUKIBOSHI M. (2012). International Association of Dental Traumatology guidelines for the management of traumatic dental injuries: 1. Fractures and luxations of permanent teeth. Dental Traumatology. 28: 2-12.
  40. ^ ANDRESSON L., ANDREASEN J.O., DAY P., HEITHERSAY G., TROPE M., DIANGELIS A.J., KENNY D.J., SIGURDSSON A., BOURGUIGNON C., FLORES M.T., HICKS M.L., LENZI A.R., MALMGREN B., MOULE A.J. and TSUKIBOSHI M. (2012). International Association of Dental Traumatology guidelines for the management of traumatic dental injuries: 2. Avulsion of permanent teeth. Dental Traumatology. 28(2): 88-96.
  41. ^ Lin S, Pilosof N, Karawani M, Wigler R, Kaufman AY, Teich ST (October 2016). "Occurrence and timing of complications following traumatic dental injuries: A retrospective study in a dental trauma department". Journal of Clinical and Experimental Dentistry. 8 (4): e429 – e436. doi:10.4317/jced.53022. PMC 5045691. PMID 27703612.
  42. ^ Love RM (May 1997). "Effects of dental trauma on the pulp". Practical Periodontics and Aesthetic Dentistry. 9 (4): 427–36, quiz 438. PMID 9550069.
  43. ^ Andreasen JO, Andreasen FM (1992). "Root resorption following traumatic dental injuries". Proceedings of the Finnish Dental Society. Suomen Hammaslaakariseuran Toimituksia. 88 Suppl 1: 95–114. PMID 1354871.
  44. ^ McCabe PS, Dummer PM (February 2012). "Pulp canal obliteration: an endodontic diagnosis and treatment challenge". International Endodontic Journal. 45 (2): 177–97. doi:10.1111/j.1365-2591.2011.01963.x. PMID 21999441.
  45. ^ Mahesh R, Kanimozhi IG, Sivakumar M (May 2014). "Dilaceration and Eruption Disturbances in Permanent Teeth: A Sequelae of Trauma to Their Predecessors-Diagnosis and Treatment Using Cone Beam CT". Journal of Clinical and Diagnostic Research. 8 (5): ZD10–2. doi:10.7860/JCDR/2014/6657.4342. PMC 4080075. PMID 24995254.
  46. ^ Zaleckiene V, Peciuliene V, Brukiene V, Drukteinis S (2014). "Traumatic dental injuries: etiology, prevalence and possible outcomes". Stomatologija. 16 (1): 7–14. PMID 24824054.
  47. ^ Kania MJ, Keeling SD, McGorray SP, Wheeler TT, King GJ (1996). "Risk factors associated with incisor injury in elementary school children". The Angle Orthodontist. 66 (6): 423–32. doi:10.2319/110109-612.1. PMC 8939006. PMID 8974178.
  48. ^ Granville-Garcia AF, de Menezes VA, de Lira PI (December 2006). "Dental trauma and associated factors in Brazilian preschoolers". Dental Traumatology. 22 (6): 318–22. doi:10.1111/j.1600-9657.2005.00390.x. PMID 17073924.
  49. ^ Andersson L (March 2013). "Epidemiology of traumatic dental injuries". Journal of Endodontics. 39 (3 Suppl): S2–5. doi:10.1016/j.joen.2012.11.021. PMID 23439040.
  50. ^ Glendor U (December 2008). "Epidemiology of traumatic dental injuries--a 12 year review of the literature". Dental Traumatology. 24 (6): 603–11. doi:10.1111/j.1600-9657.2008.00696.x. PMID 19021651.
  51. ^ Marcenes W, al Beiruti N, Tayfour D, Issa S (June 1999). "Epidemiology of traumatic injuries to the permanent incisors of 9-12-year-old schoolchildren in Damascus, Syria". Endodontics & Dental Traumatology. 15 (3): 117–23. doi:10.1111/j.1600-9657.1999.tb00767.x. PMID 10530154.
  52. ^ Naidoo S, Sheiham A, Tsakos G (April 2009). "Traumatic dental injuries of permanent incisors in 11- to 13-year-old South African schoolchildren". Dental Traumatology. 25 (2): 224–8. doi:10.1111/j.1600-9657.2008.00749.x. PMID 19290905.
  53. ^ Andreasen FM (May 2001). "Pulpal healing following acute dental trauma: clinical and radiographic review". Practical Procedures & Aesthetic Dentistry. 13 (4): 315–22, quiz 324. PMID 11402773.
  54. ^ "Hard Tissue Injuries - HSC PDHPE". pdhpe.net. Retrieved 2025-08-09.
  55. ^ "Facial Trauma". www.northernmontanaoms.com. Retrieved 2025-08-09.
  56. ^ "Introduction". www.ijcpd.com. Retrieved 2025-08-09.
  57. ^ Brouwer, Isabel; Maistry, Sairita (2023). "Blunt Force Trauma". Encyclopedia of Forensic Sciences, Third Edition. pp. 365–389. doi:10.1016/B978-0-12-823677-2.00051-9. ISBN 978-0-12-823678-9.
  58. ^ "Battle's sign". gpnotebook.com. Retrieved 2025-08-09.
  59. ^ Zaneva-Hristova, Denitsa; Borisova-Papancheva, Tsvetelina; Yankov, Yanko G.; Papanchev, Georgi; Zaneva-Hristova, Denitsa; Borisova-Papancheva, Tsvetelina; Yankov, Yanko G.; Papanchev, Georgi (2024). "Different Approaches to the Treatment of Anterior Tooth Fractures: Three Clinical Cases and Behavior Report". www.cureus.com. 16 (7): e64524. doi:10.7759/cureus.64524. PMC 11321472. PMID 39139314. Retrieved 2025-08-09.
  60. ^ Bamofleh, Samar A.; Alotaibi, Alanoud F.; Alshahrani, Aidel A.; Alahmadi, Shoroug M.; AlHumaidan, Abdulaziz I.; Abomelha, Sarah A.; Alkheshail, Walaa A.; Almuhaydib, Rayyanah N.; Zafer, Roaa M.; Alkahtani, Khloud M.; Albeladi, Bashayer T. (28 January 2022). "Dental fractures: types, causes, and treatment". International Journal of Community Medicine and Public Health. 9 (2): 995. doi:10.18203/2394-6040.ijcmph20220004.
  61. ^ "Dentistry". encinitasallsmilesdental.com. 14 June 2025. Retrieved 2025-08-09.
  62. ^ "International Association of Dental Traumatology. Dental Trauma Guidelines" (PDF). removpros.dentistry.dal.ca. Retrieved 2025-08-09.
  63. ^ Gould, Trenton E.; Piland, Scott G.; Caswell, Shane V.; Ranalli, Dennis; Mills, Stephen; Ferrara, Michael S.; Courson, Ron (October 2016). "National Athletic Trainers' Association Position Statement: Preventing and Managing Sport-Related Dental and Oral Injuries". Journal of Athletic Training. 51 (10): 821–839. doi:10.4085/1062-6050-51.8.01. PMC 5189236. PMID 27875057.