Cutaneous horn
| Cutaneous horn | |
|---|---|
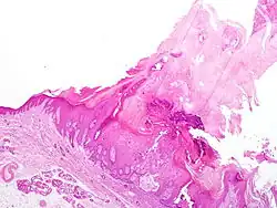
| Actinic keratosis, pre-cancerous area of thick, scaly, or crusty skin (below) with cutaneous horn tissue (above) |
Cutaneous horns, also known by the Latin name cornu cutaneum, are unusual keratinous skin tumors with the appearance of horns, or sometimes of wood or coral. Formally, this is a clinical diagnosis for a "conical projection above the surface of the skin."[1] They are usually small and localized but can, in very rare cases, be much larger. Although often benign, they can also be malignant or premalignant.[2]
Signs and symptoms
The lesion at the base of the keratin mound is benign in the majority of cases. Malignancy is present in up to 20% of cases, with squamous-cell carcinoma being the most common type. The incidence of squamous-cell carcinoma increases to 37% when the cutaneous horn is present on the penis.[3]

Cause
The cause of cutaneous horns is still unknown, but it is believed that exposure to radiation can trigger the condition. This is evidenced by a higher rate of cases occurring on the face and hands, areas that are often exposed to sunlight. Moreover, there is a higher prevalence in Asian countries with a warm climate. Other cases have reported cutaneous horns arising from burn scars.[4] As with many other wart-like skin conditions, a link to the HPV virus family, especially the HPV-2 subtype has been suggested.[5]
Diagnosis
Histologically they are characterized by compact proliferation of keratin
Treatments
Treatment is surgical excision
Notable cases
- Zhang Ruifang, aged 101 (as of 2010), living in Linlou Village, Henan province, China, has grown a cutaneous horn on her forehead, resembling what those who have examined her and her family call "Devil's Horns". Notably, this growth has expanded to reach a total of 6 cm (2.5 inches) in length. Another is forming on the opposite side of her forehead.[6]
- Liang Xiuzhen, aged 87 (as of 2015) living in Guiyan village in Ziyang City, Sichuan province, China, grew a 13-centimetre (5.1-inch) pointed horn from her forehead, earning her the nickname "Unicorn Woman".[7]
- Huang Yuanfan, aged 84 (living in Ziyuan, China).[8]
- Shyam Lal Yadav, aged 74 (living in Madhya Pradesh, India) grew a 10-centimetre (4-inch) horn after an accident, and later had it surgically removed.[9]
- Madame Dimanche ("Widow Sunday"), a French woman living in Paris in the early 19th century, grew a 24.9-centimetre (9.8-inch) horn from her forehead in six years from the age of 76 before it was successfully removed by French surgeon Br. Joseph Souberbeille (1754–1846). A wax model of her head is on display at the Mütter Museum, The College of Physicians of Philadelphia, US.[10]
-
François Trouille -
François Trouille, in the works of Ulisse Aldrovandi -
Mary Davis, age 74, of Chester -
Elizabeth French of Tenterden -
Capt. Levi Becket of Atlantic City, New Jersey, 1870
See also
- Wart
- Actinic keratosis
- Epidermodysplasia verruciformis
- List of cutaneous conditions
- Shope papilloma virus
References
- ^ Copcu, Eray; Sivrioglu, Nazan; Culhaci, Nil (2004). "Cutaneous horns: are these lesions as innocent as they seem to be?". World Journal of Surgical Oncology. 2: 18. doi:10.1186/1477-7819-2-18. PMC 421749. PMID 15176977.
- ^ Yu, R.C.H.; Pryce, D.W.; MacFarlane, A.W.; Stewart, T.W. (1991). "A histopathological study of 643 cutaneous horns". British Journal of Dermatology. 124 (5): 449–52. doi:10.1111/j.1365-2133.1991.tb00624.x. PMID 2039721. S2CID 73180732.
- ^ Solivan, GA; Smith, KJ; James, WD (1990). "Cutaneous horn of the penis: Its association with squamous cell carcinoma and HPV-16 infection". Journal of the American Academy of Dermatology. 23 (5 Pt 2): 969–72. doi:10.1016/0190-9622(90)70315-9. PMID 2172337.
- ^ Nthumba, Peter M (2007). "Giant cutaneous horn in an African woman: a case report". Journal of Medical Case Reports. 1: 170. doi:10.1186/1752-1947-1-170. PMC 2225419. PMID 18053226.
- ^ Wang, W; Wang, C; Xu, S; Chen, C; Tong, X; Liang, Y; Dong, X; Lei, Y; Zheng, X (2007). "Detection of HPV-2 and identification of novel mutations by whole genome sequencing from biopsies of two patients with multiple cutaneous horns". Journal of Clinical Virology. 39 (1): 34–42. doi:10.1016/j.jcv.2007.01.002. PMID 17368088.
- ^ Writers, Staff. (2010-03-09) Chinese woman Zhang Ruifang, aged 101, grows 'devil' horn Archived 2011-06-14 at the Wayback Machine. Herald Sun. Retrieved on 2010-10-27.
- ^ "'Unicorn woman' set to have 'horn' removed from head after 13cm spike stops OAP sleeping". Mirror Online. 27 August 2015. Retrieved 27 August 2015.
- ^ "China's Huang Yuanfan Sprouts 3-Inch Horn From Head". 10 January 2011. Archived from the original on 22 February 2011.
- ^ "74-year-old MP man grows devil's horn after injury". India Today. 14 September 2009.
- ^ The Mütter Museum. Corkscrew-balloon.com (2003-05-26). Retrieved on 2010-10-27.
Further reading
- Matthew Moore (12 November 2007). "Tree man 'who grew roots' may be cured". London: Daily Telegraph. Archived from the original on 13 November 2007. Retrieved 14 November 2007.
- "Images of cutaneous horns". DermAtlas. Archived from the original on 19 April 2003. Retrieved 14 November 2007.
- DiClaudio, Dennis (2006) "The Hypochondriac's Pocket Guide to Horrible Diseases You Probably Already Have", Bloomsbury Publishing, ISBN 978-1-59691-061-4