Cuneus

Cuneus
Medial surface of left cerebral hemisphere. (Cuneus visible at left in red.)
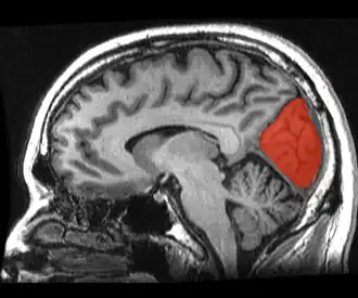
Sagittal MRI slice with the cuneus and lingual gyrus shown in red.
Details
Arteryposterior cerebral artery
Identifiers
NeuroNames157
NeuroLex IDbirnlex_1396
TA98A14.1.09.224
TA25485
FMA61903
Anatomical terms of neuroanatomy

The cuneus (from Latin 'wedge'; pl.: cunei) is a smaller lobe in the occipital lobe of the brain. The cuneus is bounded anteriorly by the parieto-occipital sulcus and inferiorly by the calcarine sulcus.

Function

The cuneus (Brodmann area 17) receives visual information from the same-sided superior quadrantic retina (corresponding to contralateral inferior visual field). It is most known for its involvement in basic visual processing. Pyramidal cells in the visual cortex (or striate cortex) of the cuneus, project to extrastriate cortices (BA 18,19). The mid-level visual processing that occurs in the extrastriate projection fields of the cuneus are modulated by extraretinal effects, like attention, working memory, and reward expectation.

Clinical research

In addition to its traditional role as a site for basic visual processing, gray matter volume in the cuneus is associated with better inhibitory control in bipolar depression patients.[1]

Pathologic gamblers have higher activity in the dorsal visual processing stream including the cuneus relative to controls.[2]

References

General sources

  1. ^ Haldane M, Cunningham G, Androutsos C, Frangou S (March 2008). "Structural brain correlates of response inhibition in Bipolar Disorder I". Journal of Psychopharmacology. 22 (2): 138–43. doi:10.1177/0269881107082955. PMID 18308812.
  2. ^ Crockford DN, Goodyear B, Edwards J, Quickfall J, el-Guebaly N (November 2005). "Cue-induced brain activity in pathological gamblers" (PDF). Biological Psychiatry. 58 (10): 787–95. doi:10.1016/j.biopsych.2005.04.037. PMID 15993856.

Further reading