Barton's fracture

Barton's fracture
A palmar Barton's fracture of the right wrist, as shown on a 3D-rendered CT scan
SpecialtyOrthopedic

A Barton's fracture is a type of wrist injury where there is a broken bone associated with a dislocated bone in the wrist, typically occurring after falling on top of a bent wrist.[1] It is an intra-articular fracture of the distal radius with dislocation of the radiocarpal joint.[2]

There exist two types of Barton's fracture – dorsal[3] and palmar, the latter being more common. The Barton's fracture is caused by a fall on an extended and pronated wrist increasing carpal compression force on the dorsal rim. Intra-articular component distinguishes this fracture from a Smith's or a Colles' fracture. Treatment of this fracture is usually done by open reduction and internal fixation with a plate and screws, but occasionally the fracture can be treated conservatively.[4]

Causes

The most common causes of Barton's Fracture differ depending on the patient population. The majority of Barton fractures in children and young adults are caused by sports and motor vehicle accidents. The most common cause of this is a direct, traumatic wrist injury. 70% of Barton's fracture cases are caused by young male workers or motorcycle riders. However, decreased bone density caused by osteoporosis means that less force is required to cause this injury in the elderly, particularly women. As a result, most of these fractures are caused by a fall while standing.[4]

Eponym

It is named after John Rhea Barton (1794–1871), an American surgeon who first described this in 1838.[5][6]

Additional images

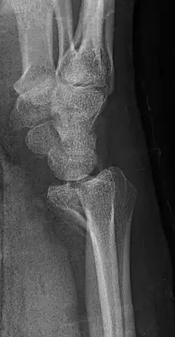
Lateral projectional radiograph of the same fracture

References

  1. ^ "Barton Fracture: Symptoms, Causes & Treatment". Cleveland Clinic. 27 December 2021. Retrieved 12 September 2022.
  2. ^ Martel, José; Bueno, Angel (2008). "Fractures with names". In Pope, Thomas; Bloem, Hans L.; Beltran, Javier; Morrison, William B.; John, David (eds.). Musculoskeletal Imaging (2nd ed.). Philadelphia: Elsevier. p. 1232.e2. ISBN 978-1-4557-0813-0.
  3. ^ Dorsal Barton's Fracture / Dorsal Shearing Frx – Wheeless' Textbook of Orthopaedics
  4. ^ a b Szymanski, Joel A.; Reeves, Russell A.; Taqi, Muhammad; Carter, Kevin R. (May 30, 2023). "Barton's Fracture". StatPearls Publishing. PMID 29763081. Retrieved November 14, 2023.
  5. ^ synd/2821 at Whonamedit?
  6. ^ J. R. Barton. Views and treatment of an important injury of the wrist. Medical Examiner, Philadelphia, 1838, 1: 365–368.